Пневмоторакс — это патологическое состояние, при котором в плевральной полости скапливается воздух, нарушая герметичность плеврального пространства и вызывая спадение (коллапс) лёгкого частично или полностью. В норме в плевральной полости поддерживается отрицательное давление, обеспечивающее расправление лёгких при дыхании. Попадание воздуха в это пространство приводит к утрате отрицательного давления, вследствие чего лёгкое теряет способность к нормальной вентиляции.
Причины пневмоторакса делят на несколько групп. Спонтанный пневмоторакс возникает без внешнего воздействия и подразделяется на первичный и вторичный. Первичный связан с разрывом субплевральных булл или альвеол, чаще у молодых людей без выраженной патологии лёгких. Вторичный развивается на фоне хронических заболеваний лёгких, таких как хроническая обструктивная болезнь лёгких, бронхиальная астма, туберкулёз, пневмония, муковисцидоз, пневмокониоз. Травматический пневмоторакс возникает при проникающих и тупых травмах грудной клетки, переломах рёбер, а также при медицинских манипуляциях (катетеризация подключичной вены, биопсия лёгкого, искусственная вентиляция лёгких), что называют ятрогенным пневмотораксом. Отдельно выделяют клапанный (напряжённый) пневмоторакс, при котором воздух поступает в плевральную полость при вдохе, но не выходит при выдохе, что приводит к резкому повышению внутриплеврального давления и смещению средостения.
Механизм развития пневмоторакса основан на нарушении целостности висцеральной или париетальной плевры. При повреждении альвеол или субплевральных булл воздух из лёгочной ткани проникает в плевральное пространство. При травмах или операциях воздух поступает извне через повреждённую грудную стенку. В случае клапанного механизма образуется «клапан» из мягких тканей или повреждённого плеврального листка, пропускающий воздух в одну сторону. Это приводит к быстрому нарастанию внутриплеврального давления, компрессии лёгкого и сосудов средостения, что может вызвать жизнеугрожающее состояние.
Виды пневмоторакса
По происхождению различают спонтанный, травматический и ятрогенный пневмоторакс. Спонтанный делится на первичный и вторичный.
Первичный возникает у пациентов без выраженной патологии лёгких, обычно вследствие разрыва субплевральных булл или альвеол у молодых и астеничных людей.
Вторичный развивается на фоне заболеваний дыхательной системы, таких как хроническая обструктивная болезнь лёгких, туберкулёз, муковисцидоз, интерстициальные заболевания лёгких.
Травматический пневмоторакс связан с повреждениями грудной клетки при проникающих и тупых травмах.
Ятрогенный является следствием медицинских вмешательств, включая пункцию плевры, катетеризацию центральных вен, биопсию лёгкого, баротравму при искусственной вентиляции.
По механизму поступления воздуха выделяют открытый, закрытый и клапанный пневмоторакс. При открытом воздух свободно поступает в плевральную полость через дефект грудной стенки или бронха и выходит обратно при выдохе, что приводит к выравниванию давления между плевральной полостью и внешней средой. При закрытом воздух попадает в плевральную полость однократно и не имеет выхода, при этом его объём может постепенно рассасываться. Клапанный пневмоторакс является наиболее опасным, так как воздух поступает при вдохе, но не выходит при выдохе, что вызывает быстрое повышение внутриплеврального давления, смещение средостения и угрозу жизнеугрожающего коллапса.
По степени распространённости различают односторонний и двусторонний пневмоторакс. По объёму воздуха и степени спадения лёгкого выделяют частичный (малый), субтотальный и тотальный пневмоторакс.
По наличию осложнений выделяют неосложнённый и осложнённый варианты. К осложнениям относятся кровотечение (гемопневмоторакс), присоединение инфекции (пиопневмоторакс), эмфизема средостения и подкожная эмфизема.
Симптомы
Симптомы пневмоторакса зависят от объёма воздуха в плевральной полости, скорости его поступления, исходной патологии лёгких и варианта пневмоторакса. Общие признаки включают:
- внезапную одностороннюю колющую или давящую боль в груди
- остро возникшую одышку
- учащённое поверхностное дыхание
- ощущение нехватки воздуха
- сухой кашель
- тахикардию
- беспокойство
- потливость.
Боль часто иррадиирует в шею, плечо или эпигастрий на стороне поражения, усиливается при вдохе и кашле. При осмотре отмечаются асимметрия грудной клетки с отставанием поражённой половины в дыхании, ослабление или отсутствие дыхательных шумов и голосового дрожания, гиперрезонанс при перкуссии; нередко определяется подкожная эмфизема в области шеи и грудной стенки.
При клапанном (напряжённом) пневмотораксе симптомы стремительно нарастают: выраженная прогрессирующая одышка вплоть до дыхательной недостаточности, резкая плеврогенная боль, тахикардия, гипотензия, цианоз, набухание шейных вен, смещение трахеи и сердца в здоровую сторону, признаки шока. Это жизнеугрожающее состояние, требующее немедленной декомпрессии.
При открытом пневмотораксе, как правило, после травмы грудной стенки, клиника включает свист воздуха через раневой дефект, парадоксальные движения грудной клетки, быструю десатурацию и признаки дыхательной недостаточности.
При закрытом и малом по объёму пневмотораксе проявления могут быть скудными: умеренная односторонняя боль, лёгкая одышка при нагрузке, незначительная тахикардия; иногда находка выявляется случайно при рентгенографии или КТ.
У пациентов с сопутствующей патологией лёгких (ХОБЛ, астма, интерстициальные заболевания) даже небольшой пневмоторакс способен вызвать выраженную гипоксемию, усиление одышки и декомпенсацию дыхательной функции. У курильщиков и высоких астеничных молодых людей для первичного спонтанного пневмоторакса типичны внезапная боль и одышка на фоне относительного благополучия.
Диагностика
Диагностика пневмоторакса проводится по протоколам неотложной и пульмонологической практики и направлена на быстрое подтверждение наличия воздуха в плевральной полости, определение его объёма, вида и осложнений.
Первичный диагноз часто ставится на основании клинической картины: внезапная боль в груди, одышка, ослабленное дыхание на одной стороне, тимпанит при перкуссии и признаки дыхательной недостаточности. При напряжённом (клапанном) пневмотораксе диагноз может быть клиническим и требует немедленной декомпрессии без ожидания инструментальных подтверждений.
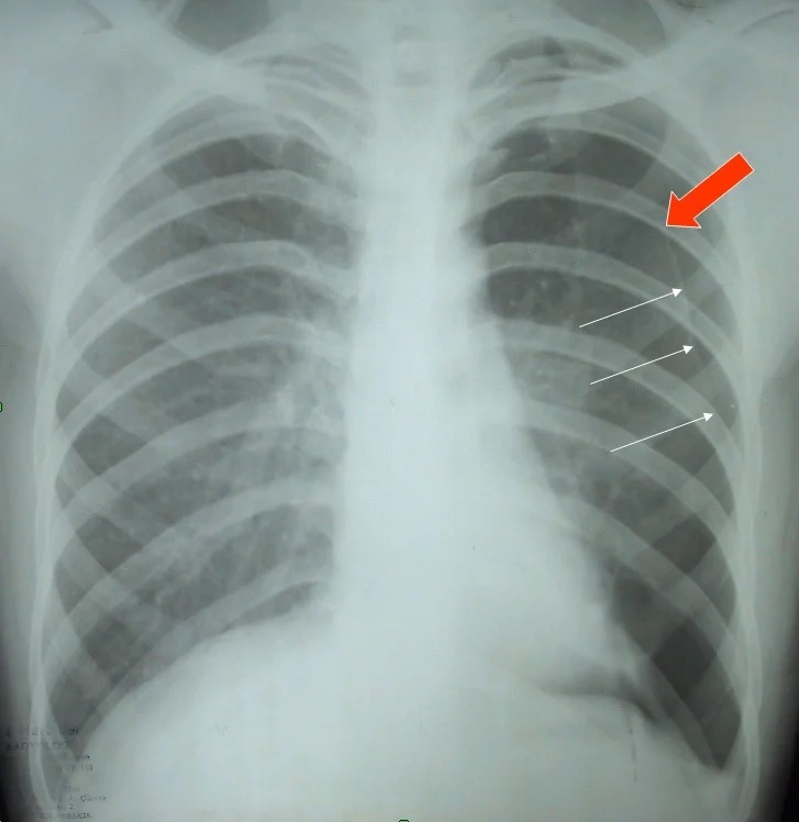
Основным методом визуализации является рентгенография органов грудной клетки. Обследование проводится в прямой и боковой проекциях грудной клетки в вертикальном положении пациента, при невозможности — в положении лежа, с дополнительной прицельной съёмкой подозрительного гемиторакса на вдохе и выдохе. Визуализируются исключительно прямые признаки: наличие газа в плевральной полости, отслоение лёгочной ткани и отсутствие сосудистого рисунка за пределами лёгочного края. Цель исследования — подтвердить наличие свободного воздуха в плевральной полости, определить объём, локализацию и возможные признаки напряжённого пневмоторакса.
Рентгенография выявляет следующие признаки пневмоторакса:
- Чёткая визуализация свободного плеврального газа в виде просветления без лёгочного рисунка между грудной стенкой и смещённым краем коллабированного лёгкого.
- Отчётливо ограниченный край лёгочной ткани, отступающий медиально от грудной стенки.
- Уменьшение объёма поражённого лёгкого с выраженным спадением его долей.
- Отсутствие лёгочного сосудистого рисунка в зоне пневмоторакса, особенно в верхнебоковых отделах.
- Смещение средостенных структур и купола диафрагмы при выраженном (напряжённом) пневмотораксе.
- Уровень газа и жидкости при одновременном наличии гидропневмоторакса, выявляемый как горизонтальная граница на фоне просветления.
Рентгенограмма даёт возможность детально визуализировать следующие диагностические параметры пневмоторакса:
- Выявление точного объёма и распространённости свободного газа в плевральной полости.
- Определение локализации пневмоторакса (верхнебоковой, медиальный, ограниченный, апикальный).
- Анализ степени коллапса лёгочной ткани по величине смещения её краёв и выраженности спадения.
- Оценка состояния средостения, положения трахеи, сердца и крупных сосудов при подозрении на напряжённую форму.
- Дифференцировка простого и клапанного пневмоторакса по признакам давления на окружающие структуры.
- Динамическое наблюдение за расширением или рассасыванием пневмоторакса на фоне лечения или дренирования.
Метод имеет ряд ограничений, и с его помощью не всегда удаётся точно визуализировать следующие аспекты:
- Снижение чувствительности к выявлению минимального (локального) пневмоторакса, особенно в положении лежа.
- Затруднение диагностики у пациентов с выраженным эмфизематозом, буллёзной болезнью и послеоперационными изменениями.
- Ограниченная визуализация при обширных спайках, сращениях и при частично плеврализованных пневмотораксах.
- Сложности дифференциации между истинным пневмотораксом и участками субплевральной буллы, интерлопарной щели или дерматоглифов.
- Недостаточная информативность без проведения съёмки на выдохе при подозрении на латентный пневмоторакс.
- Присутствует лучевая нагрузка: при выполнении рентгенографии грудной клетки в прямой и боковой проекциях с прицельной съёмкой на вдохе и выдохе суммарная эффективная доза составляет от 0,12 до 0,25 мЗв.
Компьютерная томография ОГК более чувствительна и применяется в сомнительных случаях, при малом или локализованном пневмотораксе, а также для выявления булл, эмфиземы и сопутствующей патологии. Ультразвуковое исследование может использоваться в неотложных условиях для выявления отсутствия скольжения плевры и признака "морской волны". При тяжёлых формах проводится газовый анализ артериальной крови для оценки гипоксемии и гиперкапнии.
Диагностикой и лечением пневмоторакса занимаются терапевт и пульмонолог на амбулаторном этапе, но при острых формах основная ответственность ложится на врача скорой помощи, торакального хирурга и реаниматолога. Травматический и клапанный пневмоторакс лечат преимущественно в хирургических и реанимационных отделениях.
Современные способы лечения
Современные протоколы лечения пневмоторакса основаны на его виде (закрытый, открытый, клапанный), объёме воздуха, выраженности дыхательной недостаточности и наличии осложняющих факторов. Цель терапии – устранить воздух из плевральной полости, восстановить функцию лёгкого и предупредить рецидивы.
При небольшом закрытом спонтанном пневмотораксе (до 10–15% объёма гемиторакса) у пациентов без тяжёлых сопутствующих заболеваний возможно консервативное лечение. Оно включает наблюдение, покой, ингаляцию кислорода, который ускоряет резорбцию воздуха, и контроль рентгенографией каждые 24–48 часов.
При пневмотораксе средней и большой величины выполняется эвакуация воздуха из плевральной полости. Наиболее часто применяется плевральная пункция с аспирацией воздуха. При рецидивирующих формах и при большом объёме пневмоторакса устанавливают дренаж плевральной полости по Бюлау с подключением к системе активной или пассивной аспирации. Это позволяет достичь расправления лёгкого и восстановления отрицательного давления.
Клапанный (напряжённый) пневмоторакс является неотложным состоянием. Лечение начинают с экстренной декомпрессии – пункции плевральной полости толстой иглой во втором межреберье по среднеключичной линии, что немедленно снижает внутриплевральное давление. Далее выполняют постановку дренажа с постоянной аспирацией.
При открытом травматическом пневмотораксе первым этапом является наложение герметизирующей окклюзионной повязки для предотвращения поступления воздуха, затем проводится хирургическая обработка раны и дренирование плевральной полости.
Для профилактики рецидивов, особенно при спонтанных формах у молодых пациентов с буллёзной эмфиземой или при повторных эпизодах, применяются хирургические методы. Выполняется торакоскопическая резекция булл с последующим плевродезом (механическим или химическим, например, тальком), что предотвращает повторное накопление воздуха.
Медикаментозная терапия носит вспомогательный характер и включает обезболивающие, кислородотерапию, лечение основного заболевания лёгких (ХОБЛ, астма, туберкулёз).
Список научной литературы:
- Шипулин П.П., Мартынюк В.А. Торакоскопическая хирургия спонтанного пневмоторакса // Грудная и серд-сосуд. хирургия. 1999. - №2. - С.49-53.
- Шнитко С.Н. Диагностические и лечебные возможности видеоторакоскопии в грудной хирургии: Автореф. дис.д-ра. мед. наук. -Минск, 2002.-46 с.
- Шапкин B.C., Макаров В.И. Спонтанный пневмоторакс (диагностика и лечение) // Грудная хирургия,- 1984. №4. - С.91-92.
Гипоплазия лёгких (pulmonary hypoplasia) — это врождённое состояние, характеризующееся недоразвитием лёгочной ткани, при котором уменьшается масса, объём, количество бронхиол
Гипоплазия лёгких (pulmonary hypoplasia) — это врождённое состояние, характеризующееся недоразвитием лёгочной ткани, при котором уменьшается масса, объём, количество бронхиол
Что надо сделать для ранней диагностики рака легких? Пациенту, в первую очередь, необходимо записаться на консультацию к пульмонологу и сделать КТ легких. После первичного приема врач может назначить дополнительные обследования: Консультацию онколога МРТ легких
Что надо сделать для ранней диагностики рака легких? Пациенту, в первую очередь, необходимо записаться на консультацию к пульмонологу и сделать КТ легких. После первичного приема врач может назначить дополнительные обследования: Консультацию онколога МРТ легких
Как проходит дифференциальная диагностика боли в легких? Пациенту, в первую очередь, необходимо записаться на консультацию к терапевту. После первичного приема врач может назначить дополнительные обследования: Консультацию пульмонолога, торакального хирурга, кардиолога Рентгенографию легких в прямой и боковой проекции КТ органов грудной полости Электрокардиографию (ЭКГ) УЗИ сердца.
Как проходит дифференциальная диагностика боли в легких? Пациенту, в первую очередь, необходимо записаться на консультацию к терапевту. После первичного приема врач может назначить дополнительные обследования: Консультацию пульмонолога, торакального хирурга, кардиолога Рентгенографию легких в прямой и боковой проекции КТ органов грудной полости Электрокардиографию (ЭКГ) УЗИ сердца.
Общегородской центр



