Гипоплазия лёгких (pulmonary hypoplasia) — это врождённое состояние, характеризующееся недоразвитием лёгочной ткани, при котором уменьшается масса, объём, количество бронхиол и альвеол, а также сосудистое русло лёгкого. В большинстве случаев патология диагностируется у новорождённых и нередко сочетается с другими врождёнными аномалиями.
Гипоплазия может быть как изолированной, так и вторичной по отношению к другим патологическим состояниям, влияющим на внутриутробное развитие плода. В тяжёлых случаях заболевание приводит к дыхательной недостаточности, выраженной гипоксемии и высокой неонатальной смертности.
Виды кистозной гипоплазии лёгких
По распространённости процесса выделяют одностороннюю и двустороннюю формы. Односторонняя гипоплазия встречается чаще и проявляется уменьшением объёма одного лёгкого с кистозными изменениями различного размера. Двусторонняя форма является более тяжёлой, так как сопровождается выраженной дыхательной недостаточностью и высокой летальностью в раннем возрасте.
По морфологическим признакам различают локализованную кистозную гипоплазию, при которой изменения ограничены сегментом или долей лёгкого, и генерализованную, когда кисты и гипоплазия распространяются на значительную часть лёгочной ткани.
По строению кист выделяют:
- мелкокистозную форму, характеризующуюся множественными мелкими кистами диаметром до 1–2 см
- крупнокистозную форму с образованием полостей более 2–3 см, которые могут имитировать врождённые кисты лёгкого или буллы.
В международной практике классификация кистозных аномалий лёгких иногда пересекается с понятием врождённых кистозных мальформаций, включая врождённое кистозное аденоматозное образование и бронхогенные кисты, что требует дифференциальной диагностики.
Этиология
Причины гипоплазии лёгких разнообразны и могут быть как внутренними (генетическими), так и внешними (влияние внешней среды и материнского организма). Наиболее распространённые этиологические факторы включают:
- Олигогидрамнион (маловодие) — снижение объёма амниотической жидкости, особенно в критические сроки (20–28 недель гестации), ограничивает движение грудной клетки и лёгочную экспансию плода, что нарушает нормальную альвеоляризацию.
- Внутриутробная компрессия грудной клетки — встречается при врождённых опухолях, кистах, плевральных выпотах и грыжах, таких как диафрагмальная грыжа (особенно левосторонняя Bochdalek hernia), которая вызывает смещение и сдавление развивающейся лёгочной ткани.
- Мочеполовая патология — аномалии развития почек (например, агенезия или дисплазия почек) и мочевыводящих путей могут вызывать выраженное маловодие и, как следствие, лёгочную гипоплазию.
- Скелетные дисплазии и миопатии — ограничение движений грудной клетки, обусловленное костно-мышечными патологиями, препятствует адекватной экспансии лёгких.
- Хромосомные аномалии — синдромы, такие как Трисомия 13, 18 и 21, часто сопровождаются лёгочной гипоплазией как частью множественных аномалий развития.
Патогенез
Нормальное развитие лёгких начинается на 4-й неделе гестации и продолжается до рождения и в постнатальном периоде. Закладка бронхиального дерева и сосудов, последующая альвеоляризация и капилляризация требуют адекватного пространства в грудной полости, нормального количества амниотической жидкости и регулярных дыхательных движений плода.
При наличии одного или нескольких неблагоприятных факторов нарушается:
- бронхогенез (формирование бронхиального дерева);
- альвеологенез (формирование альвеол);
- ангиогенез (формирование капиллярной сети);
- лёгочная перфузия.
Морфологически наблюдается уменьшение общего объёма лёгочной ткани, утолщение интерстиция, редукция сосудистой сети, снижение количества терминальных респираторных единиц (альвеол). В тяжёлых случаях лёгкие могут быть неспособны обеспечить адекватный газообмен, что приводит к гипоксии, гиперкапнии и метаболическому ацидозу у новорождённого.
Симптомы гипоплазии лёгких
Клинические проявления гипоплазии лёгких зависят от степени недоразвития лёгочной ткани, стороны поражения (одностороннее или двустороннее), а также наличия сопутствующих пороков. В тяжёлых случаях симптомы появляются сразу после рождения и требуют неотложной медицинской помощи.
Основные симптомы включают:
Тяжёлая дыхательная недостаточность с рождения
Новорождённый сразу после родов демонстрирует признаки нарушенного дыхания:
- одышка (тахипноэ: частота дыхания > 60 вдохов/мин);
- втяжение межрёберных промежутков, надключичных ямок (признак дыхательной нагрузки);
- участие вспомогательной мускулатуры при дыхании;
- апноэ (остановки дыхания) при тяжёлой гипоплазии.
Цианоз (синюшность)
Центральный цианоз — синее окрашивание губ, языка, кожи — свидетельствует о гипоксемии (низкий уровень кислорода в крови).
Плохой ответ на кислородотерапию несмотря на подачу 100% кислорода или искусственную вентиляцию лёгких, уровень сатурации остаётся низким — признак тяжёлой дисфункции лёгочной ткани.
Гипотония, вялость, снижение активности новорождённого
Как следствие гипоксии и ацидоза, включая:
- Снижение артериального давления, признаки шока. При выраженной гипоксемии возможно развитие кардиореспираторной недостаточности.
- Симптомы, связанные с сопутствующими пороками, например, при диафрагмальной грыже может быть заметна асимметрия грудной клетки, смещение сердца в противоположную сторону (декстрокардия), отсутствие дыхательных шумов на стороне поражения.
Риски при гипоплазии лёгких
Гипоплазия лёгких представляет собой серьёзную угрозу для жизни и здоровья новорождённого, особенно в случаях двустороннего поражения или сочетания с другими врождёнными аномалиями. Основные риски связаны с выраженной дыхательной недостаточностью, гипоксией и невозможностью лёгочной ткани обеспечить эффективный газообмен.
Вот ключевые риски, связанные с гипоплазией лёгких:
- Острая дыхательная недостаточность: Недоразвитая лёгочная ткань не способна обеспечивать адекватную оксигенацию и выведение углекислого газа, что приводит к гипоксемии, гиперкапнии и метаболическому ацидозу уже в первые минуты или часы жизни.
- Летальный исход: При тяжёлой двусторонней гипоплазии, особенно в сочетании с диафрагмальной грыжей или маловодием, высока вероятность антенатальной или ранней неонатальной смерти.
- Персистирующая лёгочная гипертензия новорождённых (PPHN): Из-за недоразвития сосудистой сети лёгких может сохраняться фетальное (внутриутробное) кровообращение с шунтированием крови, минуя лёгкие, что усугубляет гипоксию.
- Неэффективность респираторной поддержки: Даже при применении высокочастотной вентиляции, экстракорпоральной мембранной оксигенации (ЭКМО) или сурфактантной терапии, лёгкие могут не отвечать на лечение из-за анатомической несостоятельности.
- Задержка психомоторного и физического развития: У выживших детей с тяжёлой гипоплазией часто наблюдаются нейроразвитие задержки, хроническая дыхательная недостаточность, бронхолёгочные дисплазии и ограниченная физическая активность.
- Повышенная подверженность инфекциям: Снижение объёма функционирующей лёгочной ткани делает ребёнка более уязвимым к частым и тяжело протекающим респираторным инфекциям.
- Необходимость длительного лечения и реабилитации.
Диагностика
Диагноз гипоплазии лёгких устанавливается мультидисциплинарной командой врачей, поскольку заболевание может быть выявлено как пренатально, так и постнатально, и часто сопровождается другими врождёнными патологиями. Врач ультразвуковой диагностики выявляет подозрение на гипоплазию лёгких во время УЗИ или МРТ плода. Он оценивает объём лёгочной ткани, уровень околоплодных вод, наличие диафрагмальной грыжи или других аномалий.
Акушер-гинеколог ведёт беременность, направляет на дополнительные исследования при подозрении на аномалии развития плода, принимает участие в решении о тактике родоразрешения.
Неонатолог — основной специалист, диагностирующий гипоплазию лёгких после рождения. Он оценивает клиническое состояние новорождённого, назначает инструментальные и лабораторные исследования, проводит дифференциальную диагностику дыхательной недостаточности.
Педиатр-реаниматолог принимает участие в стабилизации состояния ребёнка, особенно при тяжёлых формах гипоплазии с дыхательной недостаточностью.
Генетик подключается при наличии множественных врождённых аномалий, хромосомных нарушений или при необходимости проведения кариотипирования и молекулярной диагностики.
Диагностика гипоплазии лёгких начинается ещё в пренатальном периоде. Ультразвуковое исследование плода может выявить уменьшение объёма лёгких, асимметрию грудной клетки, смещение средостения, а также сопутствующие аномалии, такие как диафрагмальная грыжа или агенезия почек. Важным маркером служит индекс LHR (lung-to-head ratio), который при снижении менее 1 указывает на высокий риск выраженной гипоплазии. Для более точной оценки применяется МРТ плода, позволяющая визуализировать объём лёгочной ткани и степень её зрелости.
После рождения диагноз подтверждается на основании клинической картины и данных визуализирующих методов. У новорождённого отмечается тяжёлая дыхательная недостаточность, цианоз, тахипноэ, втяжение грудной клетки при дыхании и отсутствие эффекта от подачи кислорода.
Рентгенография органов грудной клетки позволяет выявить уменьшение объёма поражённого лёгкого, кистозные просветления и признаки гипоплазии. Обследование проводится в прямой и боковой проекциях грудной клетки, с прицельной съёмкой зоны подозрения, а при необходимости — в косых проекциях, в режиме обзорной рентгенографии для выявления прямых признаков кистозной гипоплазии лёгких. Цель обследования — выявление рентгенологических сигналов врождённых изменений лёгочной ткани, оценка характера кистозных полостей, степени недоразвития лёгочной паренхимы и влияния на прилежащие структуры.
Рентгенография выявляет следующие признаки кистозной гипоплазии лёгких:
- Снижение объёма поражённого лёгочного поля с уменьшением размеров грудной половины, сигнализирующее о врождённом недоразвитии лёгкого.
- Наличие множественных воздушных полостей различных размеров с тонкими стенками, видимых как участки просветления, что отражает кистозную перестройку лёгочной ткани.
- Усиление и деформация лёгочного рисунка вокруг кистозных зон за счёт компенсаторных интерстициальных изменений.
- Смещение средостенных структур в сторону поражённого лёгкого, что указывает на выраженный объёмный дефицит.
- Уплощение и втяжение купола диафрагмы на стороне гипоплазии, сопровождающееся сужением межрёберных промежутков.
Рентгенограмма даёт возможность детально визуализировать следующие диагностические параметры:
- Локализация, количество и размеры кистозных полостей, что позволяет оценить степень кистозной перестройки.
- Степень уменьшения объёма лёгкого и влияние на смежные структуры, включая смещение средостения и деформацию диафрагмы.
- Состояние оставшейся паренхимы, лёгочного рисунка и корней лёгких, что важно для оценки компенсаторных изменений.
Метод имеет ряд ограничений, и с его помощью не всегда удаётся точно визуализировать следующие аспекты:
- Начальные и клеточные изменения альвеолярной и бронхиальной структуры, которые не определяются рентгенографически.
- Характер стенок кист (толщина, васкуляризация) и степень бронхиальной обструкции, что требует проведения КТ или МРТ.
- Функциональное состояние лёгочной ткани, включая вентиляционные и перфузионные показатели, которые невозможно оценить рентгенографически.
- Присутствует лучевая нагрузка: при выполнении рентгенографии грудной клетки в прямой, боковой, косых и прицельных проекциях суммарная эффективная доза составляет от 0,1 до 0,3 мЗв.
Эхокардиография проводится для исключения врождённых пороков сердца и диагностики лёгочной гипертензии, которая часто сопровождает гипоплазию. В тяжёлых случаях проводят КТ грудной клетки для точной оценки анатомической структуры лёгочной ткани.
Анализ газового состава крови выявляет выраженную гипоксемию и гиперкапнию, а при тяжёлых формах развивается метаболический ацидоз. Учитывая высокую частоту ассоциированных врождённых аномалий, обязательны генетическое консультирование и кариотипирование, особенно если у плода или новорождённого выявляются множественные диспластические изменения. В отдельных случаях, особенно при антенатальной гибели или неонатальном летальном исходе, морфологическое подтверждение диагноза осуществляется путём патологоанатомического исследования.
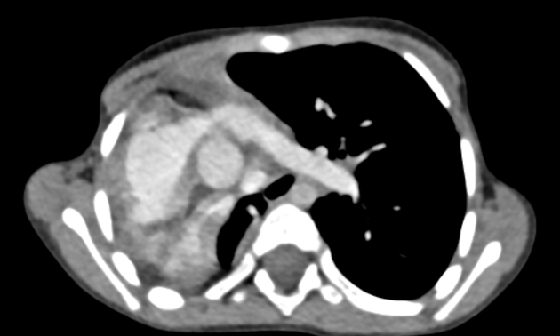
КТ используется как уточняющий метод для визуализации степени редукции бронхолёгочной и сосудистой структуры, но не позволяет в полной мере оценить функциональное состояние лёгочной ткани, степень газообмена и динамику роста. Диагноз устанавливается на основании клинико-анатомических и функциональных данных в совокупности.
МСКТ при гипоплазии лёгких выявляет следующие анатомические признаки:
- В нативном режиме определяется уменьшение объёма одного или обоих лёгких с выраженной асимметрией грудной клетки, смещением средостения и уменьшением количества сосудистых структур в зоне поражения.
- В режиме сканирования мягких тканей визуализируются редуцированная лёгочная ткань с истончённым бронхосудистым пучком, а также компенсаторное увеличение контралатерального лёгкого и диафрагмальное возвышение.
- В режиме с контрастированием фиксируется снижение числа и диаметра сосудов в зоне гипоплазии, с нормальной васкуляризацией остальных отделов, что подтверждает врождённую редукцию лёгочного кровотока.
- В режиме высокоразрешающего сканирования лёгочной ткани выявляются недоразвитые бронхиальные структуры, отсутствие дистальных разветвлений, а также истончённые участки субплевральной зоны.
- В режиме с многоплоскостной реконструкцией уточняется степень гипоплазии, её сегментарное или долевое распространение, положение трахеобронхиального дерева и взаимодействие с крупными сосудами.
- В режиме трёхмерной реконструкции визуализируется анатомическое несоответствие объёма лёгочной ткани и грудной клетки, асимметрия сосудистого русла и структура бронхов.
МСКТ позволяет детально визуализировать следующие диагностические параметры гипоплазии лёгких:
- Объём недоразвитого лёгкого измеряется в миллиметрах и кубических сантиметрах, что важно для постановки степени выраженности.
- Степень редукции сосудистого русла, включая глубину и количество разветвлений, отражает врождённый характер поражения.
- Толщина и протяжённость бронхов, их недоразвитие и отсутствие альвеолярных зон подтверждаются в режиме высокого разрешения.
- Асимметрия грудной клетки, уровень смещения средостения и высота купола диафрагмы указывают на компенсаторные изменения.
- Контуры оставшейся функциональной ткани позволяют исключить сопутствующий воспалительный или фиброзный компонент.
- Состояние контралатерального лёгкого и степень его гиперплазии уточняются при многоплоскостной реконструкции.
Компьютерная томография имеет ряд ограничений, и с её помощью не всегда удаётся точно визуализировать следующие аспекты гипоплазии лёгких:
- Начальная форма с умеренным снижением объёма может быть неотличима от вторичной ателектазы или фиброза.
- Дифференциация между гипоплазией и аплазией требует чёткого анализа бронхиального дерева и сосудов, иногда с применением КТ-ангиографии.
- Функциональное состояние остаточной лёгочной ткани и показатели газообмена не определяются в рамках структурного КТ.
- Слабовыраженные изменения в недоразвитых зонах могут быть маскированы при дыхательных артефактах.
- Отграничение врождённой гипоплазии от постинфекционного поражения требует анамнестических и клинических данных.
- При выраженной деформации грудной клетки или наличии других аномалий возможны затруднения в интерпретации анатомических структур.
Лечение
Современные протоколы лечения гипоплазии лёгких основаны на тяжести состояния, объёме функционирующей лёгочной ткани и наличии сопутствующих врождённых аномалий. Специфического этиотропного лечения гипоплазии не существует, поэтому терапия преимущественно симптоматическая и поддерживающая. Основная цель — обеспечение адекватного газообмена, предотвращение дыхательной и сердечно-сосудистой недостаточности и, при возможности, стимуляция роста и развития оставшейся лёгочной ткани.
Ведущую роль в лечении играет интенсивная неонатальная терапия с участием мультидисциплинарной команды (неонатологи, педиатрические реаниматологи, пульмонологи, хирурги, генетики).
Лечение начинается с немедленной респираторной поддержки. У новорождённых с гипоплазией лёгких применяется неинвазивная вентиляция (CPAP), а при тяжёлых нарушениях дыхания — интубация с проведением ИВЛ. Используются щадящие режимы вентиляции, чтобы не спровоцировать баротравму и пневмоторакс. В тяжёлых случаях подключается высокочастотная осцилляторная вентиляция (HFOV).
При неэффективности стандартной вентиляции, особенно на фоне персистирующей лёгочной гипертензии, рассматривается возможность подключения экстракорпоральной мембранной оксигенации (ЭКМО) — временной поддержки газообмена и кровообращения, пока сохраняется шанс на стабилизацию и адаптацию организма.
Параллельно проводится лечение лёгочной гипертензии, которая часто сопровождает гипоплазию. Применяются ингаляции оксида азота (iNO), ингибиторы фосфодиэстеразы-5 (сildenafil), простаноиды, боскентан и другие сосудорасширяющие препараты.
В случае сочетания гипоплазии с диафрагмальной грыжей, хирургическое лечение проводится только после стабилизации дыхательной и гемодинамической функции — обычно через 48–72 часа после рождения. Операция направлена на устранение компрессии лёгкого и восстановление анатомии грудной полости.
Проводится инфузионная и метаболическая поддержка, коррекция ацидоза, электролитных нарушений и гипогликемии. Применяется парентеральное питание до перехода на энтеральное. Антибиотикотерапия показана при подозрении на инфекции или развитии пневмонии.
После стабилизации состояния — этап реабилитации. У выживших детей с лёгкой или умеренной формой гипоплазии проводится длительное наблюдение у пульмонолога. При необходимости сохраняется длительная кислородотерапия на дому. Назначаются бронходилататоры, ингаляции, дыхательная гимнастика и физиотерапия. При частых инфекциях — вакцинация по расширенному графику и санация очагов инфекции.
Психомоторное развитие таких детей требует внимания невролога и логопеда, при необходимости — психолога и реабилитолога. Также важна работа с родителями — обучение уходу, мониторинг дыхания, контроль сатурации, предотвращение переутомления ребёнка.
Список научной литературы:
- Путов Н.В., Толузаков B.JL, Левашов Ю.Н. Кистозная гипоплазия легких (о терминологии) //Клиническая медицина. -1980. -Т.58, №12. -С. 6265.
- Путов Н.Ф., Левашов Ю.Н., Бобков А.Г. Кистозная гипоплазия легких. Кишинев, 1980. -С. 5-206.
- Сазонов A.M., Цуман В.Г., Романов Г.А. Аномалии развития легких и их лечение. -М., 1981. -С. 6-98.
- Споров О.А. Рентгено-пульмонология детского возраста. Новые симптомы. Новые критерии. Новые мысли. -М., 2001. -С. 24-91.
- Bromley В., Parad R., Estroff J.A., Benacerraf B.R. Fetal lung masses: prenatal course and outcome //J. Ultrasound Med. -1995 Dec. -Vol. 14 (12). -P. 927-936.
Что надо сделать для ранней диагностики эмфиземы легких? Пациенту, в первую очередь, необходимо записаться на консультацию к пульмонологу и сделать КТ органов грудной клетки. После первичного приема врач может назначить дополнительные обследования: Спирометрию.
Что надо сделать для ранней диагностики эмфиземы легких? Пациенту, в первую очередь, необходимо записаться на консультацию к пульмонологу и сделать КТ органов грудной клетки. После первичного приема врач может назначить дополнительные обследования: Спирометрию.
Что надо сделать для ранней диагностики вирусной пневмонии? Пациенту, в первую очередь, необходимо записаться на консультацию к пульмонологу, терапевту и сделать рентгенографию легких. После первичного приема врач может назначить дополнительные обследования: КТ органов грудной клетки.
Что надо сделать для ранней диагностики вирусной пневмонии? Пациенту, в первую очередь, необходимо записаться на консультацию к пульмонологу, терапевту и сделать рентгенографию легких. После первичного приема врач может назначить дополнительные обследования: КТ органов грудной клетки.
Как проходит дифференциальная диагностика боли в легких? Пациенту, в первую очередь, необходимо записаться на консультацию к терапевту. После первичного приема врач может назначить дополнительные обследования: Консультацию пульмонолога, торакального хирурга, кардиолога Рентгенографию легких в прямой и боковой проекции КТ органов грудной полости Электрокардиографию (ЭКГ) УЗИ сердца.
Как проходит дифференциальная диагностика боли в легких? Пациенту, в первую очередь, необходимо записаться на консультацию к терапевту. После первичного приема врач может назначить дополнительные обследования: Консультацию пульмонолога, торакального хирурга, кардиолога Рентгенографию легких в прямой и боковой проекции КТ органов грудной полости Электрокардиографию (ЭКГ) УЗИ сердца.
Общегородской центр



