Остеомиелит плечевой кости представляет собой острое или хроническое инфекционно-воспалительное заболевание, поражающее костный мозг, губчатое и компактное вещество плечевой кости с последующим развитием деструктивных изменений и нарушением её структурной целостности. Данная патология встречается реже по сравнению с остеомиелитом костей нижних конечностей.
Патогенез
Этиологическими агентами в большинстве случаев выступают грамположительные кокки, преимущественно Staphylococcus aureus, включая метициллин-резистентные штаммы, реже — стрептококки, грамотрицательная флора, анаэробы и, в специфических формах, микобактерии туберкулёза. Инфекция может проникать в костную ткань гематогенным путём, особенно у детей и подростков, в результате бактериэмии из отдалённого очага, а также прямым способом при открытых переломах, проникающих ранениях, хирургических вмешательствах или инфицировании эндопротезов. Возможна и контактная передача инфекции из близлежащих мягкотканных структур при флегмонах, абсцессах и раневых инфекциях.
Патогенез остеомиелита плечевой кости включает начальную фазу бактериальной инвазии с активацией врождённого иммунного ответа, продукцией провоспалительных цитокинов и развитием отёка в костномозговом канале. Повышение внутрикостного давления нарушает регионарное кровоснабжение, вызывает ишемию и некроз остеоцитов, что способствует формированию секвестров — обособленных участков мёртвой кости, служащих резервуаром инфекции. При отсутствии адекватного лечения процесс распространяется субпериостально, с вовлечением надкостницы, мягких тканей и возможным формированием параоссальных абсцессов.
В условиях хронизации воспаления развиваются грануляционные очаги, склероз, формирование свищевых ходов и деструкция диафиза или метафиза с патологическими переломами. Разрушение кортикального слоя плечевой кости сопровождается нарушением опорной функции конечности, анатомическими деформациями и стойким ограничением движений в плечевом суставе.
Симптомы
Симптомы остеомиелита плеча зависят от формы, стадии и активности воспалительного процесса, однако в большинстве случаев клиническая картина характеризуется выраженными локальными и системными признаками. Острый остеомиелит сопровождается интенсивной, пульсирующей болью в области плеча, усиливающейся при движениях и пальпации. Наблюдаются отёк, гиперемия и локальное повышение температуры кожных покровов над поражённой областью. У большинства пациентов ограничивается подвижность в плечевом суставе из-за болевого синдрома и воспалительного отека окружающих мягких тканей. В тяжёлых случаях может отмечаться флюктуация, указывающая на формирование абсцесса или параоссального гнойного скопления.
Системные проявления включают лихорадку, озноб, выраженную слабость, головную боль, потливость и признаки интоксикации. В лабораторных показателях типичны лейкоцитоз с нейтрофильным сдвигом, повышение СОЭ, С-реактивного белка и прокальцитонина.
При подостром течении симптомы могут быть менее выражены, но сохраняется локальная болезненность, чувство распирания и ограничение подвижности. В области плеча иногда отмечается формирование плотных инфильтратов или умеренно выраженная деформация.
Хронический остеомиелит плечевой кости проявляется рецидивирующей болью, особенно при нагрузке, наличием свищевых ходов с периодическим отделением гноя, снижением объёма движений и нарушением анатомической формы сегмента. Нередко пальпируются плотные участки склерозированной кости, возможна атрофия мышц плечевого пояса.
Виды остеомиелита плечевой кости
Классификация остеомиелита плечевой кости строится на основе этиологических факторов, клинического течения, патоморфологических изменений и степени выраженности деструктивного процесса. По происхождению остеомиелит плечевой кости подразделяется на гематогенный, посттравматический, ятрогенный и контактный:
- Гематогенный остеомиелит чаще встречается у детей и подростков и возникает при заносе инфекции с током крови из отдалённых очагов, таких как тонзиллит, фурункулёз или инфекции мочеполовой системы.
- Посттравматический вариант развивается в результате открытых переломов или проникающих ран плеча, особенно при инфицировании костной ткани.
- Ятрогенный остеомиелит обусловлен осложнениями после хирургических вмешательств, таких как остеосинтез, эндопротезирование или пункции сустава.
- Контактный остеомиелит возникает при распространении инфекции из близлежащих гнойных очагов мягких тканей, например, при флегмонах или трофических язвах.
По клиническому течению различают острый, подострый и хронический остеомиелит:
- Острый характеризуется стремительным развитием воспаления, выраженной интоксикацией, болевым синдромом и гнойным процессом в костной ткани.
- Подострый остеомиелит представляет собой промежуточную форму с менее бурным началом, но сохраняющимся воспалительным очагом.
- Хронический остеомиелит формируется при недостаточном или неэффективном лечении острого процесса и сопровождается наличием секвестров, свищевых ходов, периодическими обострениями и деформацией кости.
По морфологическим характеристикам выделяют остеолитическую, остеосклеротическую и смешанную формы. Остеолитическая форма сопровождается преимущественным разрушением костной ткани, формированием полостей и секвестров. Остеосклеротическая форма характеризуется утолщением кортикального слоя, гиперпластическими изменениями и склерозом. Смешанная форма сочетает элементы деструкции и склероза.
По степени тяжести остеомиелит может быть:
- Лёгкая форма ограничена локализованным воспалением без выраженной деструкции и системных проявлений.
- Средняя степень включает вовлечение большей части кости, возможное образование абсцесса, ограничение функции конечности и умеренную интоксикацию.
- Тяжёлая степень сопровождается массивной деструкцией, множественными секвестрами, свищевыми ходами, выраженной системной реакцией и угрозой инвалидизации.
Риски
Остеомиелит плеча, особенно при затяжном или неправильно леченном течении, сопряжён с рядом клинически значимых рисков, обусловленных как локальным деструктивным процессом, так и системной инфекционной реакцией. Основной риск заключается в прогрессирующем разрушении костной ткани с утратой анатомической и функциональной целостности плечевой кости, что может привести к нарушению движений в плечевом и локтевом суставах, укорочению конечности, деформациям, контрактурам и выраженному снижению качества жизни пациента.
Одним из серьёзных осложнений является формирование хронического остеомиелита, при котором наблюдаются рецидивирующие эпизоды воспаления, секвестрация, образование свищей и развитие фиброзно-склеротических изменений, препятствующих регенерации кости и ответу на антибактериальную терапию. Длительное существование гнойно-некротического очага может привести к патологическим переломам, нестабильности кости, псевдоартрозам и утрате опорной функции конечности.
Дополнительный риск представляет распространение инфекции на окружающие мягкие ткани с развитием флегмон, абсцессов, миозита и флебита, особенно у пациентов с ослабленным иммунитетом. При проникновении возбудителя в системный кровоток возможно развитие бактериемии, сепсиса и полиорганной недостаточности. Такие случаи требуют немедленной госпитализации и интенсивной терапии.
В хирургической практике особую настороженность вызывает остеомиелит на фоне ранее проведённого остеосинтеза или установки эндопротеза, поскольку инфекция вокруг импланта значительно снижает вероятность успешного исхода лечения и часто требует удаления фиксаторов.
Факторами, повышающими риск осложнённого течения, являются сахарный диабет, хронические заболевания печени и почек, иммуносупрессия, длительный приём глюкокортикостероидов, курение, алкоголизм, а также несвоевременное обращение за медицинской помощью и несоблюдение режима терапии.
Диагностика
Протокол диагностики остеомиелита плечевой кости строится на клинико-инструментальном подходе и включает последовательную оценку жалоб, физикальных признаков, лабораторных показателей и методов визуализации для подтверждения диагноза, определения стадии воспалительного процесса и объёма поражения костной ткани. Диагностический процесс начинается с клинического осмотра, в ходе которого выявляются локальные симптомы: болезненность при пальпации в области плечевой кости, отёк, гиперемия, локальное повышение температуры, ограничение движений в плечевом суставе, а также признаки свищей или инфильтрации при хроническом течении. На фоне острого процесса нередко наблюдается лихорадка, выраженная слабость, потливость, тахикардия и симптомы интоксикации.
На лабораторном этапе проводится общий анализ крови, в котором при активном воспалении выявляется лейкоцитоз с нейтрофильным сдвигом, повышение СОЭ и С-реактивного белка. В биохимическом профиле оцениваются показатели системного воспаления и белкового обмена, а при осложнённом течении — функциональное состояние печени и почек. При наличии гнойного отделяемого или свища проводится бактериологическое исследование с посевом и определением чувствительности микроорганизмов к антибиотикам. При подозрении на туберкулёзный остеомиелит используется ПЦР-диагностика или культуральное исследование на микобактерии.
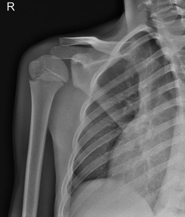
Инструментальная визуализация начинается с рентгенографии, которая проводится с использованием обзорных снимков в двух проекциях — прямой и боковой, а при подозрении на хроническое течение дополняется прицельной рентгеноскопией с контрастным исследованием свищевых каналов. Обзорный режим позволяет определить деструкцию костной ткани, периостальные реакции и наличие секвестров. Контрастное исследование уточняет характер и распространённость воспалительного очага, особенно при наличии осложнений.
Рентгенограмма выявляет следующие анатомические признаки:
- Очаговый остеопороз в диафизарной и метафизарной зоне плечевой кости, проявляющийся как снижение плотности трабекулярного рисунка, часто служит первым признаком воспаления.
- Остеолитические зоны с нечёткими границами, визуализирующиеся как просветления неправильной формы, указывают на прогрессирующее разрушение костной структуры.
- Слоистые периостальные наслоения по типу «луковичной оболочки», определяемые при хроническом процессе, свидетельствуют о многократной стимуляции надкостницы.
- Формирование секвестров, отделённых от окружающей кости, проявляется в виде плотных участков с чёткими границами на фоне остеопороза.
- При контрастной рентгеноскопии возможна визуализация симптома «контрастного хода» — заполнение свищевого канала контрастом, что подтверждает наличие хронической формы остеомиелита.
Рентгенологическое исследование позволяет детально визуализировать следующие диагностические параметры остеомиелита плеча:
- Точные очаги остеолиза, их локализация и распространённость определяются на обзорных снимках, что критически важно для верификации диагноза и планирования лечения.
- Периостальные реакции, фиксируемые при воспалительном процессе, дают представление о его продолжительности и стадии, а также позволяют отличить острые изменения от хронических.
- Формирование секвестров как специфических признаков затяжного течения доступно для надёжной оценки, особенно в сравнении с динамическими снимками.
- Контрастное исследование при наличии свищей визуализирует направления воспалительных трактов и их связь с очагом деструкции, дополняя клиническую картину.
Рентгенографическая визуализация имеет ряд ограничений, и с её помощью не всегда удаётся точно визуализировать следующие аспекты остеомиелита плеча:
- Начальные изменения в костном мозге и сосудистые нарушения не отображаются на снимках, что снижает чувствительность диагностики в остром периоде.
- Мягкотканевые осложнения, такие как параоссальные абсцессы и инфильтраты, не определяются при стандартной рентгенографии и требуют дополнительной оценки.
- Функциональные характеристики воспаления, включая гиперемию и выраженность отёка, остаются вне зоны визуализации, особенно в ранние сроки заболевания.
- Лучевая нагрузка при двупроекционной визуализации плеча составляет от 0,1 до 0,2 мЗв в зависимости от толщины мягких тканей и количества выполненных проекций.
На ранних стадиях рентгенологические изменения могут отсутствовать, поэтому применяются более чувствительные методы — компьютерная томография и магнитно-резонансная томография. МСКТ обладает высокой точностью в оценке структурных изменений, плотности костной ткани, локализации секвестров и деформаций, в то время как МРТ выявляет отёк костного мозга, распространение воспаления в мягкие ткани, абсцессы и субпериостальные скопления. Томография целесообразна при подозрении на хроническое воспаление без выраженной костной деструкции.
В сложных случаях для подтверждения диагноза проводится биопсия костной ткани с гистологическим и микробиологическим анализом. При подозрении на системный инфекционный процесс — гемокультура. В некоторых случаях применяется сцинтиграфия с радиофармпрепаратами (технеций-99m) или ПЭТ-КТ, особенно при хронических и скрытых формах, а также для оценки распространённости процесса.
Современные методы лечения
Современные методы лечения остеомиелита плечевой кости основаны на принципах мультидисциплинарного подхода и включают этиотропную антибактериальную терапию, хирургическое устранение очага инфекции, иммобилизацию, восстановление анатомической целостности и функциональной активности сегмента, а также системную реабилитацию.
На начальном этапе лечения при подозрении или подтверждённом диагнозе остеомиелита назначается эмпирическая антибактериальная терапия с использованием препаратов, активных в отношении наиболее вероятных патогенов, в первую очередь стафилококков. Применяются цефалоспорины III поколения, ванкомицин, линезолид, карбапенемы или комбинированные схемы с учётом тяжести процесса. После получения данных посева из очага воспаления проводится коррекция терапии в соответствии с чувствительностью возбудителя. Продолжительность системной антибиотикотерапии в остром случае составляет не менее 4–6 недель, при хроническом — от 8 до 12 недель и более, с возможным переходом с парентерального на пероральный приём под контролем клинической и лабораторной динамики.
Хирургическое лечение является ключевым при наличии гнойных полостей, секвестров, выраженной деструкции или неэффективности консервативной терапии. В острых случаях выполняется вскрытие и дренирование гнойных очагов, санация костного канала, некрэктомия и ревизия поражённых тканей. При хроническом течении производится секвестрэктомия, костная резекция и санация свищевых ходов с последующим применением костнопластических материалов. При обширных дефектах кости используются остеокондуктивные и остеоиндуктивные импланты, а также свободные или васкуляризованные аутотрансплантаты. В ряде случаев показано применение вакуум-терапии для локального контроля инфекции и ускорения грануляции.
Современные технологии включают использование антибактериальных цементных спейсеров на основе полиметилметакрилата, насыщенных антибиотиками, для локальной доставки препаратов в очаг инфекции. Эти спейсеры могут временно замещать удалённые участки кости или стабилизировать сегмент перед вторичным остеосинтезом. В сложных ситуациях применяется внешний остеосинтез (например, аппарат Илизарова) для коррекции длины и стабилизации сегмента с одновременным контролем за состоянием тканей.
Иммобилизация плечевого сегмента осуществляется на фоне активного лечения с целью уменьшения боли и воспаления, после чего начинается этап ранней функциональной реабилитации. Он включает физиотерапию (УВЧ, магнитотерапию, ультразвук), лечебную гимнастику, массаж и электростимуляцию для восстановления объёма движений и трофики мышц.
При хронических и рецидивирующих формах заболевания важна оценка факторов риска (сахарный диабет, иммунодефицит, наличие протезов), санация других очагов инфекции в организме и контроль иммунного статуса. В сложных клинических случаях лечение проводится в специализированных центрах реконструктивной хирургии и костной инфекции с участием инфекциониста, ортопеда, хирурга и реабилитолога.
Список научной литературы:
-
Bickel K.D. Successful treatment of coccidioidomycosis osteomyelitis in an infant / K.D.Bickel, B.H.Press, L.M.Hovey // Ann Plast Surg. 1993.rVol.30, №5.-p. 462-465.
-
Сорокин С.А. Лечение хронического гематогенного остеомиелита костей предплечья и его последствий у детей / С.А.Сорокин, М.Н.Горбылев, А.Х.Орфаниди // Ортопед, травматол. 1988. - №2. - С.16-20.
-
Садыков А.А. Последствия остеомиелита // Компрессионно-дистракционный метод в детской ортопедии. Ташкент, 1996.- С. 162-181.
-
Моргун В.А. Лечение дефектов и ложных суставов костей предплечья и плеча / В.А.Моргун, В.Г.Голубев // Тез. докл. V съезда травматологов-ортопедов республик Советской Прибалтики. Рига, 1987.- 4.2. -С. 345-347.
Остеомиелит лучевой кости представляет собой воспалительное заболевание, затрагивающее костный мозг, компактное и губчатое вещество костей запястья и дистального отдела лучевой кости.
Остеомиелит лучевой кости представляет собой воспалительное заболевание, затрагивающее костный мозг, компактное и губчатое вещество костей запястья и дистального отдела лучевой кости.
Остеомиелит локтевой кости представляет собой воспалительное поражение костного мозга и кортикального слоя локтевой кости, возникающее вследствие проникновения инфекционного агента. Воспалительный процесс затрагивает как компактное, так и губчатое вещество кости, вовлекая в патологический очаг надкостницу, окружающие мягкие ткани и в ряде случаев — соседние суставы.
Остеомиелит локтевой кости представляет собой воспалительное поражение костного мозга и кортикального слоя локтевой кости, возникающее вследствие проникновения инфекционного агента. Воспалительный процесс затрагивает как компактное, так и губчатое вещество кости, вовлекая в патологический очаг надкостницу, окружающие мягкие ткани и в ряде случаев — соседние суставы.
Что надо сделать для ранней диагностики травм плечевого сустава? Пациенту, в первую очередь, необходимо записаться на консультацию к ортопеду и сделать МРТ плечевого сустава. После первичного приема врач может назначить дополнительные обследования: КТ плечевого сустава.
Что надо сделать для ранней диагностики травм плечевого сустава? Пациенту, в первую очередь, необходимо записаться на консультацию к ортопеду и сделать МРТ плечевого сустава. После первичного приема врач может назначить дополнительные обследования: КТ плечевого сустава.
Общегородской центр



