Остеомиелит лучевой кости представляет собой воспалительное заболевание, затрагивающее костный мозг, компактное и губчатое вещество костей запястья и дистального отдела лучевой кости. Патологический процесс обусловлен инфицированием костной ткани с развитием некроза, гнойного экссудата и нарушением микроциркуляции, что влечёт за собой разрушение костной архитектуры и функциональные ограничения кости. Несмотря на то что остеомиелит лучевой кости встречается значительно реже, чем остеомиелит длинных трубчатых костей, вовлечение лучевой кости и её дистальных отделов может иметь серьёзные клинические последствия из-за высокой анатомо-функциональной значимости данной области.
Патогенез
Этиологическими агентами остеомиелита наиболее часто выступают Staphylococcus aureus, включая метициллин-резистентные штаммы (MRSA), реже — грамотрицательные бактерии (Escherichia coli, Pseudomonas aeruginosa), а также анаэробная флора. Пути проникновения инфекции могут быть различными: гематогенный (особенно у детей), посттравматический в результате открытых переломов или ранений и ятрогенный — после хирургических вмешательств, внутрисуставных инъекций или постановки остеосинтезирующих конструкций. У лиц с иммунодефицитом, сахарным диабетом, полиорганной недостаточностью или сосудистыми патологиями риск развития вторичного остеомиелита значительно повышается.
Патогенез заболевания включает начальную фазу микроциркуляторных нарушений, обусловленных бактериальной инвазией и формированием микротромбозов, что приводит к ишемии костной ткани. В ответ на патоген развивается воспалительная реакция с выходом нейтрофилов и макрофагов, что сопровождается лизисом костной ткани, повышением внутрикостного давления и образованием гнойных полостей. При отсутствии своевременного вмешательства формируются секвестры — некротизированные участки кости, окружённые грануляционной тканью, которая препятствует эффективному проникновению антибиотиков. Хронизация процесса приводит к образованию свищевых ходов, рецидивирующему течению и формированию деформирующих костных изменений.
Классификация видов остеомиелита лучевой кости
Остеомиелит лучевой кости классифицируется по формам, течению и степени тяжести поражения, включая:
- Гематогенный остеомиелит, который возникает при заносе инфекции в лучевую кость с током крови из отдалённого очага.
- Посттравматический остеомиелит развивается после открытых переломов лучевой кости или ран с инфицированием.
- Ятрогенный остеомиелит возникает после оперативных вмешательств, например, остеосинтеза, артроскопии, установки спиц или пластин.
- Контактный остеомиелит — это результат распространения инфекции с прилегающих тканей (флегмоны, гнойный тендовагинит, пролежни, инфицированные раны).
- Специфический остеомиелит вызывается микобактериями туберкулёза или актиномицетами.
По течению заболевания различают:
- Острый остеомиелит развивается внезапно, характеризуется яркой клинической картиной, болью, отёком, лихорадкой, может сопровождаться абсцедированием и гнойным расплавлением кости.
- Подострый остеомиелит имеет стертые симптомы, часто диагностируется поздно, сопровождается медленным прогрессированием.
- Хронический остеомиелит развивается на фоне нелеченного острого процесса или рецидивов; сопровождается секвестрацией, формированием свищей, деформацией костей и нарушением функции запястья.
Степени тяжести остеомиелита лучевой кости оцениваются по глубине поражения:
- Лёгкая степень — это ограниченный остеомиелит без секвестров, поражение только компактного слоя, без вовлечения суставов и мягких тканей.
- Умеренная степень включает вовлечение губчатого вещества, локальные абсцессы, возможно образование единичных секвестров, частичное нарушение функции.
- Тяжёлая степень — множественные секвестры, разрушение структуры кости, вовлечение суставных поверхностей, образование свищей, нарушение опорной и двигательной функции.
- Критическая степень — распространённый гнойно-некротический процесс с риском сепсиса, выраженной интоксикацией, множественными осложнениями, угрожающими жизни и конечности.
Симптомы
Клиническая картина остеомиелита лучевой кости зависит от формы и стадии воспалительного процесса, однако для большинства случаев характерна выраженная местная и общая симптоматика, обусловленная гнойно-некротическим поражением костной ткани.
Основным симптомом является интенсивная, локализованная боль в области лучезапястного сустава или дистального отдела предплечья, усиливающаяся при пальпации и движении. Часто наблюдается отёк, гиперемия кожи, локальное повышение температуры и резкое ограничение подвижности запястья. При распространении воспаления на окружающие мягкие ткани возможна флюктуация, формирование абсцесса или флегмоны.
В остром периоде могут отмечаться системные проявления: лихорадка, озноб, общая слабость, потливость, тахикардия, а в тяжёлых случаях — признаки интоксикации. В лабораторных анализах выявляется лейкоцитоз, нейтрофилёз, увеличение СОЭ и повышение уровня С-реактивного белка.
При переходе в хроническую форму характерны менее выраженные боли, наличие свищевых ходов с гнойным отделяемым, деформация кости, истончение кожи, атрофия мышц и снижение функции конечности. Возможны рецидивы с чередованием периодов обострения и ремиссии.
Без своевременного лечения воспалительный процесс может прогрессировать с развитием костной деструкции, патологических переломов, контрактур, анкилоза и стойкой утраты функции кисти.
Группа риска
Группы риска по развитию остеомиелита лучевой кости включают пациентов с определёнными клиническими и социальными предрасполагающими факторами. Наиболее уязвимыми считаются:
- пациенты с открытыми травмами руки, переломами дистальной лучевой кости
- лица, перенёсшие хирургические вмешательства на лучезапястном суставе, особенно при остеосинтезе
- больные сахарным диабетом, в частности при наличии диабетической ангиопатии
- пациенты с хронической почечной недостаточностью, онкопатологиями, получающие иммуносупрессивную терапию
- пациенты с заболеваниями крови, иммунодефицитными состояниями, включая ВИЧ-инфекцию
- пациенты, злоупотребляющие инъекционными наркотиками
- дети и пожилые пациенты, у которых снижен уровень остеорегенерации
- пациенты с хроническими очагами инфекции в организме (тонзиллит, фурункулёз, кариес), при возможности гематогенного распространения патогена
Диагностика
Диагностикой остеомиелита лучевой кости занимается в первую очередь врач-травматолог-ортопед, который оценивает клинические признаки, проводит физикальное обследование и направляет на необходимые методы визуализации. В случае осложнённого течения или необходимости верификации возбудителя подключается врач-хирург для оценки показаний к оперативному вмешательству и врач-инфекционист для подбора этиотропной антибактериальной терапии.
Протокол диагностики остеомиелита лучевой кости включает последовательное применение клинических, лабораторных и инструментальных методов, направленных на подтверждение воспалительного процесса в костной ткани, определение его распространённости, стадии и характера поражения. Диагностика начинается с тщательного сбора анамнеза, в котором уточняются предшествующие травмы, хирургические вмешательства, хронические инфекции и иммунодефицитные состояния. Клиническое обследование включает оценку локального болевого синдрома, отёка, гиперемии, ограничения движений и наличия свищей или инфильтрации мягких тканей.
На лабораторном этапе проводится общий анализ крови с оценкой уровня лейкоцитов, нейтрофильного сдвига, СОЭ и С-реактивного белка. Биохимический анализ крови может дополнительно выявить маркёры воспаления и нарушений обмена. При подозрении на инфекционную природу процесса обязательны бактериологическое исследование отделяемого из свища (если он имеется) или биопсийного материала с посевом на флору и определением чувствительности к антибиотикам. При системных симптомах показано проведение гемокультуры.
Инструментальная диагностика начинается с обзорной рентгенографии лучевой кости в двух проекциях, которая может выявить остеопороз, очаги остеолиза, периостальную реакцию и секвестры, однако на ранней стадии изменения могут отсутствовать. При недостаточной информативности проводится компьютерная томография костей, позволяющая точно оценить структуру кости, наличие секвестров и зону деструкции. Наиболее чувствительным методом в ранней диагностике является магнитно-резонансная томография суставов, дающая возможность визуализировать отёк костного мозга, вовлечение мягких тканей и субпериостальные скопления.
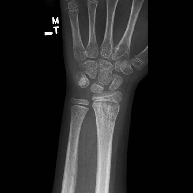
Рентгенологическая диагностика остеомиелита лучевой кости направлена на выявление прямых признаков инфекционно-деструктивного поражения костных структур запястья и пястных костей. Исследование проводится в прямой и боковой проекциях в режиме обзорной рентгенографии с прицельной съёмкой лучезапястного сустава и кисти, охватывающей весь объём поражённых костей.
Рентген выявляет следующие анатомические признаки:
- В прямой проекции при обзорной рентгенографии определяется зона остеолиза с нечёткими границами в области пястных костей или костей запястья, сопровождающаяся нарушением непрерывности кортикального слоя и снижением общей рентгеновской плотности поражённого участка.
- На боковой рентгенограмме визуализируется периостальная реакция в виде наслоения на поверхности кости, истончение или вздутие кортикальной пластинки, а также возможное смещение анатомических контуров за счёт деструктивного процесса.
- При прицельной съёмке определяются секвестры — плотные включения с чёткими контурами, отделённые от основной костной ткани, наличие склеротического ободка по периферии и возможные признаки хронического течения с формированием свищевых каналов.
Рентгенографическое исследование позволяет детально визуализировать следующие диагностические параметры остеомиелита лучевой кости:
Локализация и протяжённость костного дефекта с точным определением вовлечённого сегмента (пястные, запястные кости, фаланги).
Характер и тип периостальной реакции, отражающей фазу воспалительного процесса и позволяющей судить о его активности.
Наличие, форма и количество секвестров, их размеры и степень отграниченности от интактной кости, что критично для стадирования остеомиелита.
Уровень деструкции кортикального слоя и глубина поражения губчатого вещества, позволяющие оценить тяжесть и прогрессирование заболевания.
Степень вовлечения суставных поверхностей, в том числе межзапястных и запястно-пястных сочленений, с возможной эрозией и деформацией.
Рентгенологическое обследование имеет ряд ограничений, и с его помощью не всегда удаётся точно визуализировать следующие аспекты остеомиелита лучевой кости:
- Ранние воспалительные изменения, возникающие до появления костной деструкции, не фиксируются на рентгенограммах в первые дни заболевания.
- Состояние костного мозга, включая отёк, инфильтрацию или абсцедирование, не отображается при стандартной рентгенографии.
- Поражение параоссальных мягких тканей, гнойные затёки и свищевые ходы остаются недоступными для визуализации в пределах обычного снимка.
- Трудности интерпретации в зонах с наложением анатомических структур, особенно в области запястья, могут затруднить точную локализацию процесса.
- Присутствует лучевая нагрузка: при выполнении рентгенографии руки в прямой и боковой проекциях с применением прицельной съёмки зоны поражения суммарная эффективная доза составляет от 0,01 до 0,03 мЗв.
Современное лечение
Современные протоколы лечения остеомиелита лучевой кости основываются на принципах доказательной медицины и включают комплексную этиотропную, патогенетическую и хирургическую терапию с индивидуальным подходом к каждому пациенту. Основной целью лечения является эрадикация возбудителя, санация очага инфекции, восстановление анатомической целостности костной ткани. При остром остеомиелите лечение начинается с немедленного назначения эмпирической антибактериальной терапии с учётом вероятного спектра возбудителей. Применяются антибиотики широкого спектра действия с хорошим проникновением в костную ткань, такие как ванкомицин, цефтазидим, меропенем или линезолид. После получения результатов микробиологического исследования и антибиотикограммы проводится коррекция терапии с переходом на таргетный препарат. Длительность антибактериального курса составляет от 4 до 6 недель при остром процессе и до 12 недель и более при хроническом течении. В тяжёлых случаях применяется сочетание системной и локальной антибиотикотерапии с использованием костных цементов или спейсеров, насыщенных антибактериальными препаратами.
Хирургическое лечение проводится при наличии секвестров, гнойных затёков, выраженного костного разрушения или неэффективности консервативной терапии. Объём вмешательства может варьировать от ограниченной секвестрэктомии и санации очага с дренированием до резекции поражённого участка кости с последующей реконструкцией. В современных протоколах используются щадящие методы остеорезекции с возможностью одномоментной установки костных трансплантатов или остеокондуктивных материалов. При тяжёлых дефектах и нестабильности сегмента применяется внешняя фиксация, например, аппарат Илизарова или минификсаторы.
Параллельно проводится иммобилизация руки в функционально выгодном положении с постепенным переходом к мобилизации в период регенерации. Реабилитация является важным компонентом терапии и включает физиотерапевтические процедуры, лечебную физкультуру, массаж и нейромышечную стимуляцию для восстановления подвижности и предотвращения контрактур.
Современные протоколы также предусматривают регулярный мониторинг эффективности терапии по клинической динамике, лабораторным показателям (С-реактивный белок, прокальцитонин) и результатам повторной визуализации. При хронических формах с рецидивирующим течением важно устранение факторов риска, санация очагов хронической инфекции и укрепление иммунного статуса пациента.
Современная тактика лечения остеомиелита лучевой кости требует участия мультидисциплинарной команды, включающей травматолога-ортопеда, хирурга, инфекциониста, реабилитолога и при необходимости микробиолога и иммунолога. Данный подход обеспечивает максимально полную санацию очага, снижает риск хронизации и способствует восстановлению функции конечности.
Список научной литературы:
-
Кузьмин И.И. Патогенетические особенности инфекционного процесса в травматологии и ортопедии. // Журн. Вестн. травмат. ортопед. 2000. - №4, с.67-71.
-
Татаров, A.B. Особенности патогенеза и неспецифической резистентности при хроническом остеомиелите : автореферат дис. . кандидата медицинских наук : 14.00.16 / A.B. Татаров. Ростов-на-Дону , 2003. - 16 с.
-
Кутин A.A. Лечение гематогенного остеомиелита у взрослых // Дисс. .докт. мед. наук. M. - 1990.
-
Акжигитов, Г.Н. Гематогенный остеомиелит. / Г.Н. Акжигитов, Я.Б Юдин М.: Медицина, 1998. - 287с
Что надо сделать для ранней диагностики травм лучезапястного сустава? Пациенту, в первую очередь, необходимо записаться на консультацию к ортопеду и сделать МРТ лучезапястного сустава. После первичного приема врач может назначить дополнительные обследования: КТ лучезапястного сустава.
Что надо сделать для ранней диагностики травм лучезапястного сустава? Пациенту, в первую очередь, необходимо записаться на консультацию к ортопеду и сделать МРТ лучезапястного сустава. После первичного приема врач может назначить дополнительные обследования: КТ лучезапястного сустава.
Что надо сделать для ранней диагностики синовита лучезапястного сустава? Пациенту, в первую очередь, необходимо записаться на консультацию к ортопеду и ревматологу. После первичного приема врач может назначить дополнительные обследования: МРТ лучезапястного сустава УЗИ лучезапястного сустава.
Что надо сделать для ранней диагностики синовита лучезапястного сустава? Пациенту, в первую очередь, необходимо записаться на консультацию к ортопеду и ревматологу. После первичного приема врач может назначить дополнительные обследования: МРТ лучезапястного сустава УЗИ лучезапястного сустава.
Что надо сделать для ранней диагностики вывиха лучезапястного сустава? Пациенту, в первую очередь, необходимо записаться на консультацию к ортопеду и сделать МРТ лучезапястного сустава. После первичного приема врач может назначить дополнительные обследования: КТ лучезапястного сустава.
Что надо сделать для ранней диагностики вывиха лучезапястного сустава? Пациенту, в первую очередь, необходимо записаться на консультацию к ортопеду и сделать МРТ лучезапястного сустава. После первичного приема врач может назначить дополнительные обследования: КТ лучезапястного сустава.
Общегородской центр



