Остеомиелит локтевой кости представляет собой воспалительное поражение костного мозга и кортикального слоя локтевой кости, возникающее вследствие проникновения инфекционного агента. Воспалительный процесс затрагивает как компактное, так и губчатое вещество кости, вовлекая в патологический очаг надкостницу, окружающие мягкие ткани и в ряде случаев — соседние суставы. Остеомиелит локтевой кости является относительно редкой формой остеомиелита, особенно в изолированном виде, и чаще всего встречается как осложнение открытых переломов, огнестрельных ранений, послеоперационных инфекций или в контексте системных заболеваний, сопровождающихся снижением иммунной реактивности.
Патогенез
Наиболее частым возбудителем остеомиелита локтевой кости является Staphylococcus aureus, включая метициллинрезистентные штаммы (MRSA), реже встречаются Streptococcus pyogenes, грамотрицательные энтеробактерии, Pseudomonas aeruginosa и анаэробы. У пациентов с иммунодефицитом возможны атипичные микрофлоры, включая микобактерии и грибковую флору. Инфекция может проникать в костную ткань гематогенным путём, особенно в детском возрасте, либо через непосредственную инокуляцию при травме или хирургическом вмешательстве, либо распространяться из окружающих мягких тканей при флегмоне, абсцессе или инфицированных ранах.
Патогенез остеомиелита включает активацию локального воспалительного ответа в костномозговом пространстве. Вследствие массивной инфильтрации нейтрофилами и отёка костного мозга происходит повышение внутрикостного давления, нарушается капиллярный кровоток и развивается ишемический некроз. Образующиеся участки некротической ткани становятся идеальной средой для персистенции патогенов. Параллельно активируется остеокластическая резорбция костной ткани, формируются секвестры, надкостничные абсцессы, а в дальнейшем — свищевые ходы. Хроническое воспаление сопровождается продукцией грануляционной ткани и реактивным новообразованием кости (инволюкрум). Процесс нередко распространяется на соседние мышечные группы, сухожилия, фасции и может осложняться контрактурами, фиброзом и анкилозом в локтевом суставе.
Виды остеомиелита локтевой кости
В зависимости от характера течения, причин возникновения и клинических проявлений, выделяют несколько видов остеомиелита:
- Гематогенный остеомиелит возникает, когда инфекция попадает в кость с током крови из другого очага (например, из миндалин, при фурункулезе, кариесе. Он чаще встречается у детей и подростков.
- Посттравматический остеомиелит развивается после открытых переломов локтевой кости или травм с повреждением кожного покрова и инфицированием и часто сопровождается гнойным воспалением, плохо заживающими ранами, свищами.
- Операционный (или послеоперационный) остеомиелит возникает после хирургических вмешательств на локтевой кости (например, остеосинтез, установка металлических конструкций) при нарушении антисептики или ослабленном иммунитете.
- Контактный (или вторичный) возникает, когда инфекция проникает в кость из соседних тканей, например, при флегмоне, инфицированной ране, пролежнях, абсцессах в области локтя.
- Хронический остеомиелит - это длительное воспаление, которое может быть результатом недолеченного острого процесса. Характеризуется периодами обострений и ремиссий. У пациента могут быть свищи, секвестры (участки мёртвой кости), деформация локтевой кости.
Симптомы
Клинические проявления зависят от формы течения. Острая форма характеризуется интенсивной локальной болью в области предплечья по ходу локтевой кости, отёком, покраснением кожи, гипертермией, ограничением движений в локтевом и лучезапястном суставах. У больного часто наблюдаются лихорадка, симптомы интоксикации, регионарный лимфаденит. Пальпация выявляет локальную болезненность и в ряде случаев флюктуацию при наличии поднадкостничного абсцесса. Хроническая форма проявляется стойкими болями, наличием свищей с гнойным отделяемым, деформацией кости, гипотрофией мышц и ограничением функций предплечья и кисти. Присутствие множественных секвестров поддерживает персистирующее воспаление даже при длительной антибактериальной терапии.
Риски
Риски при остеомиелите локтевой кости включают высокий потенциал хронизации с формированием секвестров и устойчивых свищевых ходов, что приводит к постоянной бактериальной персистенции и рецидивирующему течению. Наличие секвестров препятствует полноценному остеогенезу и способствует разрушению кортикального слоя кости. Часто развиваются контрактуры и анкилозы вследствие вовлечения в воспаление суставной капсулы и окружающих сухожилий. В детском возрасте возможно нарушение роста поражённой кости, что ведёт к асимметрии конечностей и их укорочению.
При прогрессировании инфекции может наблюдаться переход воспаления на локтевой сустав с развитием гнойного артрита и стойким нарушением подвижности. При отсутствии адекватной санации очага инфекции возрастает риск гематогенного распространения микроорганизмов с развитием сепсиса, бактериемии и поражением жизненно важных органов, включая почки (амилоидоз) и сердце (инфекционный эндокардит). В редких случаях возможно развитие патологического перелома вследствие остеолиза и структурной нестабильности кости. Хроническое течение остеомиелита при выраженном снижении иммунного статуса пациента способно привести к инвалидизации и социальной дезадаптации.
Диагностика
Диагностикой остеомиелита локтевой кости занимается в первую очередь врач-травматолог-ортопед. Именно он проводит первичный осмотр, оценивает локальные симптомы, направляет на визуализирующие и лабораторные исследования, и определяет тактику лечения. Дополнительно в диагностике и лечении могут участвовать:
- врач-рентгенолог — интерпретирует результаты рентгенографии, КТ или МРТ;
- врач-инфекционист — подключается при сложной бактериальной флоре или системных осложнениях;
- врач-хирург — при необходимости оперативного вмешательства (удаление секвестров, санация гнойного очага);
- врач-ревматолог — при дифференциальной диагностике с ревматическими заболеваниями;
- врач лечебной физкультуры— участвует в восстановлении функции конечности после лечения.
Протокол диагностики остеомиелита локтевой кости представляет собой последовательный комплекс клинических, лабораторных и инструментальных методов, направленных на подтверждение диагноза, определение стадии воспаления, выявление осложнений и уточнение тактики лечения. Обычно сначала проводится клинический осмотр: врач оценивает наличие болевого синдрома, локальной гиперемии, отёка, патологической подвижности, деформации, флюктуации, гипертермии, а при хроническом процессе — наличие свищевых ходов и секвестров. Обязательно собирается анамнез заболевания - травмы, операции, инфекции в анамнезе. Затем назначаются лабораторные исследования, включая общий анализ крови (лейкоцитоз, нейтрофилёз, ускоренное СОЭ), биохимические маркёры воспаления (С-реактивный белок, прокальцитонин), бактериологическое исследование отделяемого из свищей или раны (посев с определением чувствительности к антибиотикам), а при системной симптоматике — гемокультура.
Из инструментальных методов диагностики первостепенными являются:
- рентгенография локтевой кости в двух проекциях — выявляет очаги остеолиза, периостит, секвестры (на поздних стадиях);
- компьютерная томография — визуализирует структуру кости, выявляет мелкие секвестры, очаги гнойного расплавления и изменения кортикального слоя;
- магнитно-резонансная томография — наиболее чувствительный метод для ранней диагностики, показывает вовлечение костного мозга, мягких тканей, суставов;
- ультразвуковое исследование — помогает выявить параоссальные абсцессы и скопление экссудата;
- остеосцинтиграфия с технецием-99m — применяется в неясных случаях и для выявления скрытых очагов воспаления.
При необходимости проводится биопсия костной ткани с гистологическим и микробиологическим анализом, что особенно важно для дифференциальной диагностики с опухолевыми или специфическими процессами (туберкулёз, актиномикоз, сифилис).
В случае хронического течения и рецидивов может быть показано контрастирование свищей (свищеография) для определения глубины и распространённости свищевых ходов.
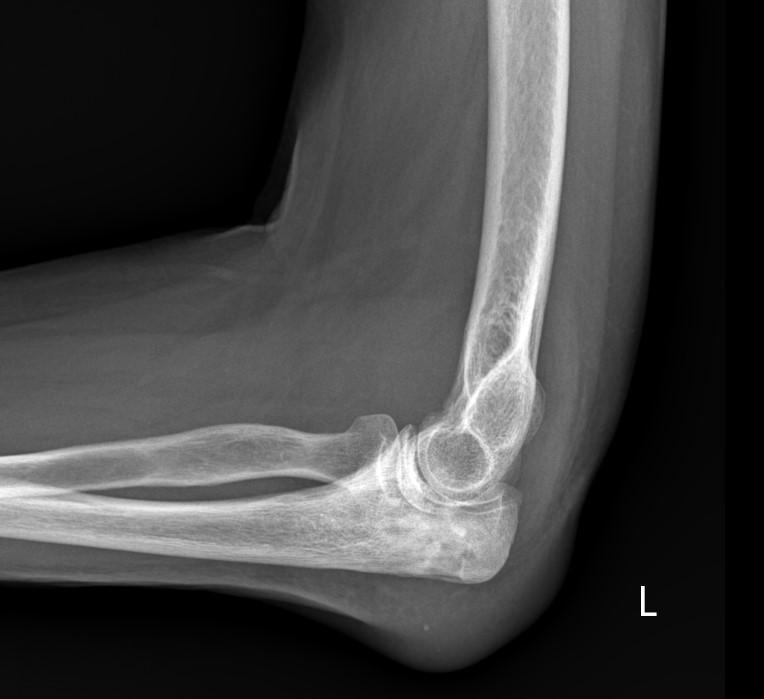
Рентгенологическая диагностика остеомиелита локтевой кости направлена на выявление признаков гнойно-деструктивного воспаления костной ткани, включая участки остеолиза, периостальной реакции и формирование секвестров. Исследование проводится в прямой и боковой проекциях в режиме обзорной рентгенографии с прицельной съёмкой предплечья, охватывающей весь объём локтевой кости.
Рентген выявляет следующие анатомические признаки:
- В прямой проекции при обзорной рентгенографии определяется зона пониженной рентгеновской плотности в диафизе или метафизе локтевой кости с размытыми контурами, свидетельствующая об участке остеолиза, часто сопровождающаяся очагами периостального наслоения.
- На боковой рентгенограмме визуализируется утолщение кортикального слоя с многослойной или гладкой периостальной реакцией, участками неравномерной плотности и признаками склерозирования окружающей костной ткани.
- При прицельной съёмке выявляется образование секвестральной полости с фрагментами костных секвестров, не соединённых с основной костью, а также возможное наличие свищевых каналов и признаков хронического течения.
Рентгенографическое исследование позволяет детально визуализировать следующие диагностические параметры остеомиелита локтевой кости:
- Размер и протяжённость очагов деструкции костной ткани, включая выраженность остеолиза и его границы в продольной и поперечной плоскости.
- Наличие и характер периостальной реакции, отражающей стадию воспалительного процесса и тип компенсаторного костеобразования.
- Выраженность склеротических изменений по периферии очага, указывающих на хронизацию воспалительного процесса и ограничение патологической зоны.
- Признаки формирования секвестров: чётко очерченные плотные участки, отделённые от основной костной структуры, служащие критерием зрелого остеомиелита.
- Состояние окружающих костных структур, включая возможное вовлечение лучевой кости или суставных концов при распространении процесса.
Рентгенологическое обследование имеет ряд ограничений, и с его помощью не всегда удаётся точно визуализировать следующие аспекты остеомиелита локтевой кости:
- Ранние воспалительные изменения, предшествующие деструкции костной ткани, не отображающиеся на рентгенограммах в течение первых 10–14 дней.
- Состояние костного мозга, включая отёк, инфильтрацию или абсцедирование, не визуализируемое на рентгенологических изображениях.
- Точное протяжение свищевых ходов и наличие гнойных затёков в окружающих мягких тканях.
- Дифференцировка реактивных изменений и истинного распространения гнойного процесса в сомнительных зонах.
- Присутствует лучевая нагрузка: при выполнении рентгенографии предплечья в прямой и боковой проекциях с применением прицельной съёмки зоны поражения суммарная эффективная доза составляет от 0,2 до 0,4 мЗв.
Современное лечение
Современное лечение остеомиелита локтевой кости основывается на комплексном и этапном подходе, включающем антибактериальную терапию, хирургическое вмешательство, стабилизацию и реабилитацию. Лечение начинается с немедленного назначения антибиотиков широкого спектра действия, обладающих высокой проникающей способностью в костную ткань, таких как ванкомицин, цефтазидим, линезолид, меропенем, а после получения результатов микробиологического исследования проводится переход на целенаправленную терапию. Продолжительность антибактериального курса составляет не менее 4–6 недель при остром течении и до 12 недель и более при хроническом процессе. При наличии гнойного очага или секвестров требуется оперативное вмешательство с удалением некротизированных участков кости, санацией полости, установкой дренажей и при необходимости цементных спейсеров с антибиотиками. В случаях выраженного разрушения локтевой кости проводится резекция с последующим этапным восстановлением с применением костной пластики или фиксации внешними устройствами. В терапии хронического остеомиелита важное значение имеет борьба с биоплёнками, особенно при инфицированных остеосинтезирующих конструкциях, для чего используются комбинации антибиотиков с рифампицином. В процессе лечения проводится временная иммобилизация конечности с ортезами или гипсовыми повязками, после чего начинается поэтапная реабилитация: лечебная физкультура, физиотерапия, массаж, направленные на восстановление подвижности в локтевом суставе и предупреждение контрактур. Контроль эффективности лечения осуществляется через динамику клинического состояния, лабораторные показатели воспаления (CRP, прокальцитонин), а также визуализирующие методы. При рецидивах или отсутствии эффекта возможны повторные хирургические вмешательства и применение современных технологий, включая 3D-планирование реконструкции, клеточные и остеоиндуктивные материалы, а также локальную доставку антимикробных препаратов с использованием биополимерных носителей.
Список научной литературы:
-
Тодуа Ф.И., Федоров В.Н., Колесников В.А. Современная рентгенологическая и радиологическая диагностика остеомиелита // Мед.Iрадиология. -1988.-Т.ЗЗ, №4.- С.69-74
-
Татаров, A.B. Особенности патогенеза и неспецифической резистентности при хроническом остеомиелите : автореферат дис. . кандидата медицинских наук : 14.00.16 / A.B. Татаров. Ростов-на-Дону , 2003. - 16 с.
-
Уразгильдеев, З.И. Гнойные процессы костей и суставов таза и нижних конечностей / З.И. Уразгильдеев: Автореф. дис. д-ра мед. наук. -М. -1993. -27 с.i
-
Акжигитов, Г.Н. Гематогенный остеомиелит. / Г.Н. Акжигитов, Я.Б Юдин М.: Медицина, 1998. - 287с
Что надо сделать для ранней диагностики эпикондилита локтевого сустава? Пациенту, в первую очередь, необходимо записаться на консультацию к ортопеду и сделать МРТ локтевого сустава. После первичного приема врач может назначить консультацию у хирурга.
Что надо сделать для ранней диагностики эпикондилита локтевого сустава? Пациенту, в первую очередь, необходимо записаться на консультацию к ортопеду и сделать МРТ локтевого сустава. После первичного приема врач может назначить консультацию у хирурга.
Что надо сделать для ранней диагностики синовита локтевого сустава? Пациенту, в первую очередь, необходимо записаться на консультацию к ортопеду или ревматологу. После первичного приема врач может назначить дополнительные обследования: МРТ локтевого сустава УЗИ локтевого сустава.
Что надо сделать для ранней диагностики синовита локтевого сустава? Пациенту, в первую очередь, необходимо записаться на консультацию к ортопеду или ревматологу. После первичного приема врач может назначить дополнительные обследования: МРТ локтевого сустава УЗИ локтевого сустава.
Как проходит дифференциальная диагностика боли в локтевом суставе? Пациенту, в первую очередь, необходимо записаться на консультацию к ортопеду. После первичного приема врач может назначить дополнительные обследования: Консультацию ревматолога МРТ локтевого сустава КТ локтевого сустава.
Как проходит дифференциальная диагностика боли в локтевом суставе? Пациенту, в первую очередь, необходимо записаться на консультацию к ортопеду. После первичного приема врач может назначить дополнительные обследования: Консультацию ревматолога МРТ локтевого сустава КТ локтевого сустава.
Общегородской центр



