Абсцесс лёгкого представляет собой ограниченное гнойно-некротическое воспаление в паренхиме лёгочной ткани с формированием полости, содержащей гнойный экссудат и продукты тканевого распада. Данное патологическое состояние возникает вследствие разрушения альвеолярной структуры и бронхиальных стенок в результате действия инфекционных агентов и выраженного иммуновоспалительного ответа. Наиболее часто абсцесс формируется как осложнение тяжёлой бактериальной пневмонии, особенно при аспирации инфицированного материала, содержащего анаэробную микрофлору полости рта и глотки. Основными этиологическими возбудителями являются анаэробы (Bacteroides, Fusobacterium, Peptostreptococcus), а также аэробные бактерии, такие как Staphylococcus aureus, Klebsiella pneumoniae и Streptococcus pneumoniae, причём в ряде случаев отмечаются полимикробные ассоциации.
Патогенез
Аспирационный механизм доминирует при нарушении глотания, алкогольной интоксикации, снижении уровня сознания, неврологических расстройствах, что способствует попаданию орофарингеального содержимого в нижние дыхательные пути. Бактериальная инвазия вызывает острое гнойное воспаление с разрушением легочной ткани, сопровождающееся формированием центральной зоны некроза. Под действием лейкоцитарных ферментов и медиаторов воспаления происходит лизис клеточных структур, в результате чего образуется полость, стенки которой представлены грануляционной тканью и участками фиброза. Развитие абсцесса сопровождается нарушением вентиляционно-перфузионных отношений, гипоксемией, общей интоксикацией и нередко приводит к формированию бронхоплевральных сообщений. В некоторых случаях в патологический процесс вовлекается плевра с развитием эмпиемы или пиопневмоторакса. Хроническое течение абсцесса характеризуется упорным течением с периодами обострений, формированием фиброзной капсулы и риском бронхоэктазов. Иммунные и сосудистые реакции, выраженность воспалительного инфильтрата, состояние мукоцилиарного клиренса и дренирующих бронхов определяют особенности клинического и рентгенологического проявления, а также прогноз заболевания. Абсцесс лёгкого является потенциально угрожающим состоянием, требующим раннего распознавания, адекватной антибактериальной терапии, а в ряде случаев — хирургического вмешательства или бронхологического дренирования.
Классификация видов абсцесса лёгкого
По клиническому течению абсцесс лёгкого подразделяется на острый и хронический. Острый абсцесс диагностируется при длительности заболевания до 6 недель, характеризуется активным гнойным воспалением, выраженной интоксикацией, инфильтрацией окружающей ткани и отсутствием сформированной фиброзной стенки. Хронический абсцесс формируется при длительности заболевания более 6 недель и проявляется чередованием фаз обострения и ремиссии, утолщением стенок полости, образованием фиброзной капсулы и стойкими морфологическими изменениями лёгочной ткани.
По патогенезу абсцессы классифицируются на первичные и вторичные. Первичный абсцесс развивается на фоне прямого инфицирования лёгочной ткани, чаще при аспирации или бактериальной пневмонии. Вторичный абсцесс формируется вследствие распространения инфекции из других очагов — гематогенным, лимфогенным или контактным путём, например, при сепсисе, тромбофлебите или инфицированном эмболе.
По локализации абсцессы могут быть центральными или периферическими. Центральные располагаются вблизи крупных бронхов, чаще сопровождаются бронхиальным дренированием и отделением гнойной мокроты. Периферические абсцессы локализуются в субплевральных зонах и чаще ассоциированы с осложнениями в виде плеврита или эмпиемы.
В классификации выделяют одиночные и множественные абсцессы. Множественные гнойные полости могут быть следствием гематогенной диссеминации инфекции, что характерно для септических состояний и носит крайне неблагоприятный прогноз.
По размеру абсцессы подразделяются на:
- малые очаги (до 2 см)
- средние очаги (2–6 см)
- крупные очаги (более 6 см).
Крупные абсцессы имеют высокий риск разрыва в плевральную полость и формирования бронхоплевральных свищей.
По фазе развития различают инфильтративную (деструктивную), гнойную и организационную стадии. В инфильтративной фазе преобладает воспалительный отёк и некроз лёгочной ткани. В гнойной фазе формируется полость с гнойным содержимым, а при организации в процесс вовлекаются элементы фиброза и капсуляции.
По степени тяжести клинического течения выделяют:
- Лёгкая форма протекает с умеренной интоксикацией, сохранной дыхательной функцией и благоприятным прогнозом.
- Средняя степень сопровождается выраженными общими и местными проявлениями воспаления.
- Тяжёлая форма характеризуется тяжёлой интоксикацией, дыхательной недостаточностью, септическим состоянием и высоким риском осложнений.
Признаки
Абсцесс лёгкого характеризуется выраженной клинической симптоматикой, которая зависит от стадии заболевания, объёма поражения, локализации полости и состояния бронхиального дренажа. Наиболее типично двухфазное течение, включающее фазу формирования абсцесса и фазу его прорыва в бронх.
В начальной фазе, когда происходит расплавление и некроз лёгочной ткани без дренирования полости, преобладают симптомы тяжёлой интоксикации: внезапное повышение температуры тела до фебрильных цифр, ознобы, проливной пот, слабость, головная боль, снижение аппетита и быстрая утомляемость. Одновременно отмечается нарастание одышки, тахикардии и боли в грудной клетке на стороне поражения, особенно при глубоких вдохах или кашле. Кашель в начальной стадии может быть сухим или малопродуктивным. У некоторых пациентов наблюдаются признаки плеврального раздражения при субплевральной локализации абсцесса.
Во второй фазе, когда происходит вскрытие абсцесса в просвет бронха, наблюдается резкое изменение клинической картины. Температура тела может снижаться, улучшается общее самочувствие, однако появляется обильная продуктивная мокрота гнойного или гнойно-кровянистого характера, часто с неприятным гнилостным запахом, особенно при анаэробной флоре. Количество мокроты может достигать 500 мл и более в сутки. Характерным является "трёхслойная" мокрота при отстаивании: верхний слой пенистый, средний — серозно-гнойный, нижний — гнойный осадок. При аускультации в лёгких выслушиваются влажные разнокалиберные хрипы, особенно над зоной поражения. Нередко сохраняются субфебрилитет и признаки общей слабости.
При хроническом течении симптомы стерты, но возможны длительный кашель с выделением гноя, повторные эпизоды повышения температуры, истощение, ночная потливость и признаки интоксикации. Характерна анемия, гипоальбуминемия, гиперлейкоцитоз и ускорение СОЭ.
При прогрессировании процесса возможно развитие осложнений: кровохарканье, лёгочное кровотечение, эмпиема плевры, бронхоплевральный свищ, сепсис или хроническая дыхательная недостаточность.
Риски и осложнения
Абсцесс лёгкого представляет собой серьёзное гнойно-деструктивное заболевание, которое связано с высоким риском развития тяжёлых осложнений и неблагоприятных исходов, особенно при поздней диагностике или неадекватной терапии. Основные риски связаны с некрозом лёгочной ткани, генерализацией инфекции и вовлечением окружающих анатомических структур в патологический процесс.
Одним из наиболее опасных осложнений является лёгочное кровотечение, которое развивается при разрушении сосудистой стенки внутри абсцедирующего очага. Оно может варьироваться от лёгкого кровохарканья до массивной кровопотери, угрожающей жизни пациента. Нередко кровотечение сопровождается аспирацией крови в здоровые участки лёгких, что усугубляет дыхательную недостаточность.
Другим частым осложнением является прорыв абсцесса в плевральную полость, что может привести к развитию пиопневмоторакса или эмпиемы плевры. Это состояние сопровождается резким ухудшением общего состояния, усилением одышки, болями в грудной клетке и выраженной интоксикацией. Наличие бронхоплеврального свища усугубляет течение заболевания и требует дренирования плевральной полости или хирургического вмешательства.
При хроническом течении абсцесс может трансформироваться в фиброзно-кавернозное образование с формированием стойкого воспалительного очага. Это сопровождается длительным выделением гнойной мокроты, персистирующей лихорадкой, потерей массы тела и анемией. Хронический очаг становится источником рецидивирующей инфекции и может осложниться бронхоэктазами и легочной недостаточностью.
Высоким риском обладает генерализация гнойной инфекции с развитием сепсиса и множественного органного поражения. Это особенно характерно для пациентов с иммунодефицитом, сахарным диабетом, алкоголизмом или выраженной коморбидностью. Септический шок и полиорганная недостаточность являются главными причинами летального исхода при абсцессе лёгкого.
К числу других осложнений относят формирование вторичных бронхолегочных свищей, медиастинит, тромбоэмболические события, а также развитие резистентной микрофлоры при нерациональной антибактериальной терапии. Поэтому своевременное распознавание абсцесса, его осложнений и комплексный лечебный подход являются решающими факторами в снижении риска инвалидизации и летальности.
Диагностика
Первым этапом диагностики при подозрении на абсцесс лёгкого является сбор анамнеза, включая информацию о наличии предшествующей пневмонии, аспирации, хронических бронхолёгочных заболеваний, иммунодефицитных состояний, алкоголизма или эпизодов бессознательного состояния. Обследование выявляет признаки интоксикации, гипоксемии и локальных изменений в грудной клетке. Следующим шагом проводится общий клинический анализ крови, при котором обычно отмечаются выраженный лейкоцитоз со сдвигом влево, повышение уровня СОЭ и С-реактивного белка, а также признаки анемии при хроническом течении.
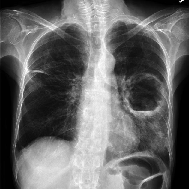
Ключевым этапом протокола является рентгенография органов грудной клетки в двух проекциях, которая позволяет визуализировать очаг инфильтрации с уровнем жидкости и газовой полостью — характерный признак сформированного абсцесса. Обследование проводится в прямой (постеро-антериальной) и боковой проекциях грудной клетки, при необходимости дополняется прицельной съёмкой поражённых сегментов и рентгеноскопией для оценки уровня жидкости. Применяются стандартный режим для оценки общего состояния лёгочных полей и средостения и высококонтрастный режим для выявления тонких стенок полости, уровня жидкости и сопутствующих фиброзных изменений. Рентгенография позволяет выявлять прямые признаки абсцесса лёгких, указывающие на наличие полостного образования с жидкостью, а также косвенные признаки и рентгенологические сигналы, свидетельствующие о длительном воспалительном процессе и ремоделировании лёгочной ткани.
Рентгенография выявляет следующие признаки абсцесса легких:
- Полость округлой или овальной формы с утолщёнными и неровными стенками, преимущественно в верхних или задних сегментах (прямая проекция, стандартный режим).
- Горизонтальный уровень жидкости с чёткой линией раздела газа и жидкости — рентгенологический сигнал, характерный для абсцесса (боковая проекция, прицельная съёмка).
- Уплотнение лёгочной ткани вокруг полости с формированием фиброзных тяжей (боковая проекция, высококонтрастный режим).
- Смещение прилежащих бронхиальных структур, бронхоэктазы в зоне хронического воспаления (прямая проекция, стандартный режим).
- Косвенные признаки: деформация контуров плевры, подъём купола диафрагмы, смещение средостенных структур в сторону поражения (боковая проекция, прицельная съёмка).
Рентгенограмма даёт возможность детально визуализировать следующие диагностические параметры абсцесса легких:
- Локализация полости по долям и сегментам лёгкого.
- Размеры полости, толщина и характер стенок (гладкие, неровные, кальцинированные).
- Наличие и высота уровня жидкости, характер газового содержимого.
- Структурные изменения окружающей лёгочной ткани, включая фиброз, бронхоэктазы и деформацию сосудистого рисунка.
- Косвенное влияние на объём и вентиляцию поражённого участка.
Рентген имеет ряд ограничений, и с его помощью не всегда удаётся точно визуализировать следующие аспекты:
- Полости диаметром менее 1 см, особенно без жидкости.
- Разграничение абсцесса и других полостных образований (туберкулёзные каверны, опухолевый распад, эхинококковая киста), что требует КТ или бронхоскопии.
- Выявление микроскопических изменений стенки абсцесса и начальных фаз формирования.
- Оценка бронхиального дренажа, проходимости и связи полости с бронхами, требующая бронхографии или КТ.
- Присутствует лучевая нагрузка: при выполнении рентгенографии грудной клетки в прямой и боковой проекциях с прицельной съёмкой зоны поражения суммарная эффективная доза составляет от 0,1 до 0,3 мЗв.
При сомнительных результатах или необходимости детальной оценки структуры используется компьютерная томография органов грудной полости, которая обладает высокой чувствительностью в обнаружении очага, оценки его размеров, капсулы, состояния прилежащих тканей, наличия свищей или плевральных осложнений.
Бронхоскопия рекомендуется при отсутствии отхождения мокроты или подозрении на опухолевую природу обструкции. Она позволяет выполнить забор материала для микробиологического и цитологического анализа, а также выявить анатомические особенности дренирующего бронха. Мокрота, полученная спонтанно или при бронхоскопии, направляется на бактериологическое исследование с посевом на аэробную и анаэробную флору, с определением чувствительности к антибиотикам, а также на микроскопию по Граму и на кислотоустойчивые бактерии при подозрении на туберкулёз.
При тяжёлом течении необходимо проводить биохимический анализ крови с оценкой уровня альбумина, мочевины, креатинина, электролитов, лактата, глюкозы и функции печени. В некоторых случаях дополнительно применяются ультразвуковое исследование плевральной полости для оценки выпота и контроля при дренировании.
Современные протоколы лечения
Современные протоколы лечения абсцесса лёгкого базируются на патогенетическом подходе, включающем антибактериальную терапию, дренирование гнойной полости, коррекцию дыхательной и метаболической недостаточности, а также при необходимости — хирургическое вмешательство. Выбор терапевтической тактики зависит от стадии заболевания, объёма поражения, клинической формы, характера микрофлоры и наличия осложнений.
Основой лечения является этиотропная антибактериальная терапия. Препараты подбираются эмпирически с учётом вероятной анаэробной и аэробной флоры. Наиболее часто применяются комбинации бета-лактамов с ингибиторами бета-лактамаз (например, ампициллин/сульбактам, пиперациллин/тазобактам), карбапенемы (имипенем, меропенем) или фторхинолоны в сочетании с клиндамицином или метронидазолом. При тяжёлых формах назначаются внутривенные капельницы с последующим переходом на пероральный при положительной динамике. Длительность терапии обычно составляет от 4 до 6 недель, при хроническом абсцессе — до 8 недель и более.
При наличии гнойной полости с затруднённым оттоком мокроты и признаками неэффективности медикаментозной терапии показано дренирование. В большинстве случаев предпочтение отдаётся трансбронхиальному дренированию с помощью бронхоскопии, что позволяет восстановить проходимость бронха и улучшить эвакуацию гнойного содержимого. В ряде случаев может быть выполнено чрескожное дренирование под контролем УЗИ или КТ, особенно при периферических и плохо дренируемых абсцессах.
Обязательным компонентом является патогенетическая и симптоматическая терапия: оксигенотерапия при гипоксемии, бронхолитики, муколитики, отхаркивающие средства, а также физиотерапия и дыхательная гимнастика. При выраженной интоксикации проводится инфузионная терапия с коррекцией электролитного и кислотно-щелочного баланса, а при наличии септических признаков назначаются препараты иммуномодулирующего и детоксикационного действия.
Хирургическое лечение рассматривается при неэффективности консервативной терапии, наличии осложнений (бронхоплевральные свищи, массивное кровотечение, эмпиема плевры), а также при хроническом абсцессе с фиброзными стенками. Выполняются атипичные резекции, сегментэктомии или лобэктомии, в редких случаях — пульмонэктомия. Хирургическая тактика всегда сочетается с мощной антибактериальной и общеукрепляющей терапией.
Список научной литературы:
-
Позмогов А.И., Терновой С.К., Бабий Я.С. и др. Томография грудной клетки. - Киев. 1992. - 23-75 с.
-
Компьютерная томография в диагностике абсцедирующей пневмонии/ Шейх Ж.В., Дунаев А.П., Дребушевский Н.С. и др.// Тезис докл. Вестник PAP. - М., 2011.- №1. - С. 38.
-
Шейх Ж.В., Дунаев А.П., Дребушевский Н.С. и др. Компьютерная томография в диагностике деструктивной пневмонии//Медицинская визуализация. -2012. - № 1. - С.76-83.
-
Шойхет Я.Н., Рощев И.П., Заремба С.В. Острый абсцесс и гангрена легких//Респираторная медицина: Руководство 2-х томах./ Под ред. А.Г. Чучалина. - 2007. - Т.1. - С. 225-229.
-
Возможности компьютерной томографии в диагностике деструктивной пневмонии и абсцесса легкого. Яковлев В.Н., Шейх Ж.В., А.В. Араблинский и др.//Тезис. док. 4-ой научно-практической конференции «Актуальные вопросы респираторной медицины». - М., 2012. - С.46-47.
-
Компьютерная томография и рентгенография в диагностике абсцесса легкого/ Яковлев В.Н., Шейх Ж.В., Дунаев А.П. и др.// Тезис, док. 5-ой научно-практической конференции «Актуальные вопросы респираторной медицины». - М., 2013. - С. 43.
Пациенты, у которых болит плечо при раке легких, часто описывают ее, как излучающую боль от плеча вниз по рукам. Также может возникнуть онемение или покалывание.
Пациенты, у которых болит плечо при раке легких, часто описывают ее, как излучающую боль от плеча вниз по рукам. Также может возникнуть онемение или покалывание.
Что надо сделать для ранней диагностики эмфиземы легких? Пациенту, в первую очередь, необходимо записаться на консультацию к пульмонологу и сделать КТ органов грудной клетки. После первичного приема врач может назначить дополнительные обследования: Спирометрию.
Что надо сделать для ранней диагностики эмфиземы легких? Пациенту, в первую очередь, необходимо записаться на консультацию к пульмонологу и сделать КТ органов грудной клетки. После первичного приема врач может назначить дополнительные обследования: Спирометрию.
Что надо сделать для ранней диагностики фиброза легких? Пациенту, в первую очередь, необходимо записаться на консультацию к пульмонологу и сделать КТ органов грудной клетки. После первичного приема врач может назначить дополнительные обследования: МРТ легких.
Что надо сделать для ранней диагностики фиброза легких? Пациенту, в первую очередь, необходимо записаться на консультацию к пульмонологу и сделать КТ органов грудной клетки. После первичного приема врач может назначить дополнительные обследования: МРТ легких.
Общегородской центр



