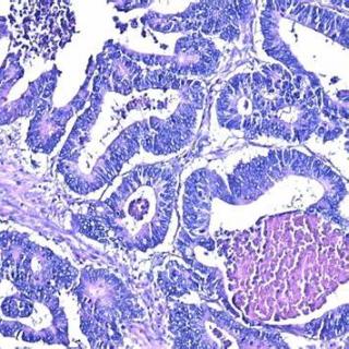
Высокодифференцированная аденокарцинома представляет собой злокачественную опухоль железистого происхождения, клетки которой сохраняют значительную часть признаков нормальной ткани, поэтому опухоль часто растёт медленнее и даёт меньше ранних метастазов по сравнению с низкодифференцированными вариантами
Общегородской центр



